Cell Signaling Technology Logo - Extra Large
Trial Size Available Flag
Recombinant Flag
Recombinant: Superior lot-to-lot consistency, continuous supply, and animal-free manufacturing.

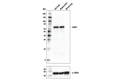
GAD1 (D1F2M) Rabbit Monoclonal Antibody #41318

Filter:
  • WB
  • IP
  • IF

    Product Specifications

    REACTIVITY M R
    SENSITIVITY Endogenous
    MW (kDa) 67
    Source/Isotype Rabbit IgG
    Application Key:
    • WB-Western Blotting 
    • IP-Immunoprecipitation 
    • IF-Immunofluorescence 
    Species Cross-Reactivity Key:
    • M-Mouse 
    • R-Rat 

    Product Information

    Product Usage Information

    Application Dilution
    Western Blotting 1:1000
    Immunoprecipitation 1:50
    Immunofluorescence (Frozen) 1:50

    Storage

    Supplied in 10 mM sodium HEPES (pH 7.5), 150 mM NaCl, 100 µg/ml BSA, 50% glycerol and less than 0.02% sodium azide. Store at –20°C. Do not aliquot the antibody.

    For a carrier free (BSA and azide free) version of this product see product #10603.

    Protocol

    Specificity / Sensitivity

    GAD1 (D1F2M) Rabbit Monoclonal Antibody recognizes endogenous levels of total GAD1 protein.

    Species Reactivity:

    Mouse, Rat

    The antigen sequence used to produce this antibody shares 100% sequence homology with the species listed here, but reactivity has not been tested or confirmed to work by CST. Use of this product with these species is not covered under our Product Performance Guarantee.

    Species predicted to react based on 100% sequence homology:

    Human

    Source / Purification

    Monoclonal antibody is produced by immunizing animals with a synthetic peptide corresponding to residues surrounding Ala15 of human GAD1 protein.

    Background

    The enzyme glutamate decarboxylase (GAD) is responsible for the synthesis of the essential neurotransmitter gamma-aminobutyric acid (GABA) from L-glutamic acid (1). GAD1 (GAD67) and GAD2 (GAD65) are expressed in nervous and endocrine systems (2) and are thought to be involved in synaptic transmission (3) and insulin secretion (4), respectively. Autoantibodies against GAD2 may serve as markers for type I diabetes (5). Many individuals suffering from an adult onset disorder known as Stiff Person Syndrome (SPS) also express autoantibodies to GAD2 (6).
    GAD1 and GAD2 are encoded by separate genes and are coexpressed in most of the GABA-containing neurons (1, 7).

    Alternate Names

    67 kDa glutamic acid decarboxylase; CPSQ1; DCE1; FLJ45882; GAD; GAD-67; GAD1; GAD67; Glutamate decarboxylase 1; glutamate decarboxylase 1 (brain, 67kDa); Glutamate decarboxylase 67 kDa isoform; SCP

    For Research Use Only. Not for Use in Diagnostic Procedures.
    Cell Signaling Technology is a trademark of Cell Signaling Technology, Inc.
    Alexa Fluor is a registered trademark of Life Technologies Corporation.
    All other trademarks are the property of their respective owners. Visit our Trademark Information page.