Cell Signaling Technology Logo - Extra Large

Fyn Antibody #4023

Filter:
  • WB

    Product Specifications

    REACTIVITY H M
    SENSITIVITY Endogenous
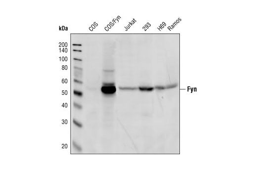
    MW (kDa) 59
    SOURCE Rabbit
    Application Key:
    • WB-Western Blotting 
    Species Cross-Reactivity Key:
    • H-Human 
    • M-Mouse 

    Product Information

    Product Usage Information

    Application Dilution
    Western Blotting 1:1000

    Storage

    Supplied in 10 mM sodium HEPES (pH 7.5), 150 mM NaCl, 100 µg/ml BSA and 50% glycerol. Store at –20°C. Do not aliquot the antibody.

    实验步骤

    Specificity / Sensitivity

    Fyn Antibody detects endogenous levels of total Fyn proteins. This antibody does not cross-react with Src and Hck family members.

    Species Reactivity:

    Human, Mouse

    Source / Purification

    Polyclonal antibodies are produced by immunizing animals with a synthetic peptide corresponding to residues surrounding Ser25 of human Fyn. Antibodies are purified by protein A and peptide affinity chromatography.

    Background

    The Src family of protein tyrosine kinases, which includes Src, Lyn, Fyn, Yes, Lck, Blk, and Hck, are important in the regulation of growth and differentiation of eukaryotic cells (1). Src activity is regulated by tyrosine phosphorylation at two sites, but with opposing effects. While phosphorylation at Tyr416 in the activation loop of the kinase domain upregulates enzyme activity, phosphorylation at Tyr530 in the carboxy-terminal tail by Csk renders the enzyme less active (2).

    Fyn is a 59 kDa member of the Src family of tyrosine kinases. The carboxy terminus of Fyn shares extensive amino acid sequence homology with Src, but is very different within the amino-terminal 81 amino acid residues. The Fyn protein is synthesized and N-myristoylated on cytosolic polysomes and then rapidly targeted to the plasma membrane, where it is palmitoylated (3). The corresponding sequences surrounding Tyr416 and Tyr527 of Src are conserved in Fyn and thus may be similarly regulated by phosphorylation. Dually acetylated Fyn clusters in caveolae-like membrane microdomains and can interact with a variety of other signaling molecules. Fyn's biological functions are diverse and include signaling via the T cell receptor, regulation of brain function and adhesion mediated signaling (4, 5). Alteration of the levels of Fyn in appropriate target tissues may lead to better treatments for some related diseases.

    Alternate Names

    c-syn protooncogene; FYN; FYN oncogene related to SRC, FGR, YES; FYN proto-oncogene, Src family tyrosine kinase; MGC45350; OKT3-induced calcium influx regulator; p59-Fyn; protein-tyrosine kinase fyn; Proto-oncogene c-Fyn; Proto-oncogene Syn; proto-oncogene tyrosine-protein kinase fyn; SLK; src-like kinase; src/yes-related novel; SYN; tyrosine kinase p59fyn(T); Tyrosine-protein kinase Fyn

    For Research Use Only. Not for Use in Diagnostic Procedures.
    Cell Signaling Technology is a trademark of Cell Signaling Technology, Inc.
    All other trademarks are the property of their respective owners. Visit our Trademark Information page.