Cell Signaling Technology Logo - Extra Large
Trial Size Available Flag
Recombinant Flag
Recombinant: Superior lot-to-lot consistency, continuous supply, and animal-free manufacturing.

FRMD6 (D8X3R) Rabbit Monoclonal Antibody #14688

Filter:
  • WB
  • IP

    Product Specifications

    REACTIVITY H M R
    SENSITIVITY Endogenous
    MW (kDa) 78
    Source/Isotype Rabbit IgG
    Application Key:
    • WB-Western Blotting 
    • IP-Immunoprecipitation 
    Species Cross-Reactivity Key:
    • H-Human 
    • M-Mouse 
    • R-Rat 

    Product Information

    Product Usage Information

    Application Dilution
    Western Blotting 1:1000
    Immunoprecipitation 1:50

    Storage

    Supplied in 10 mM sodium HEPES (pH 7.5), 150 mM NaCl, 100 µg/ml BSA, 50% glycerol and less than 0.02% sodium azide. Store at –20°C. Do not aliquot the antibody.

    Protocol

    Specificity / Sensitivity

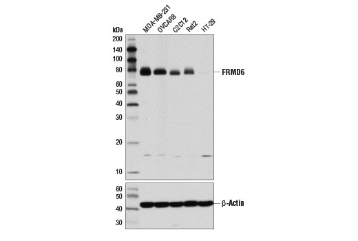
    FRMD6 (D8X3R) Rabbit Monoclonal Antibody recognizes endogenous levels of total FRMD6 protein.

    Species Reactivity:

    Human, Mouse, Rat

    The antigen sequence used to produce this antibody shares 100% sequence homology with the species listed here, but reactivity has not been tested or confirmed to work by CST. Use of this product with these species is not covered under our Product Performance Guarantee.

    Species predicted to react based on 100% sequence homology:

    Bovine, Dog, Pig

    Source / Purification

    Monoclonal antibody is produced by immunizing animals with a synthetic peptide corresponding to residues surrounding Phe608 of human FRMD6 protein.

    Background

    FERM domain-containing protein 6 (FRMD6, Willin) belongs to the 4.1 superfamily, a group of proteins characterized by the presence of a Band 4.1, Ezrin, Radixin, Moesin (FERM) domain in the amino-terminal region (1). Members of this protein superfamily, which also includes Merlin, Ezrin, Radixin, Moesin and Talin, function primarily as adaptor proteins that link plasma membrane-associated proteins to the actin cytoskeleton (2). FRMD6 is considered orthologous to the Drosophila Expanded (Ex) protein, which is a 4.1 family protein that functions together with Merlin and Kibra to regulate Hippo signaling, upstream of the Salvador/Warts/Hippo core kinase cassette (3). Research studies suggest a similar role for FRMD6 in regulating the Hippo pathway in mammals. For example, ectopic expression of FRMD6 leads to increased phosphorylation of MST1/2, LATS1, and YAP, which is indicative of Hippo pathway activation. Loss of FRMD6 expression in MCF10A cells induces a phenotype change resembling epithelial-mesenchymal transition (4).

    Alternate Names

    4.1 ezrin radixin moesin (FERM)-containing protein; c14_5320; C14orf31; EX1; expanded homolog; FERM domain containing 6; FERM domain-containing protein 6; FRMD6; MGC17921; Willin

    For Research Use Only. Not for Use in Diagnostic Procedures.
    Cell Signaling Technology is a trademark of Cell Signaling Technology, Inc.
    All other trademarks are the property of their respective owners. Visit our Trademark Information page.