Cell Signaling Technology Logo - Extra Large
Trial Size Available Flag
Recombinant Flag
Recombinant: Superior lot-to-lot consistency, continuous supply, and animal-free manufacturing.

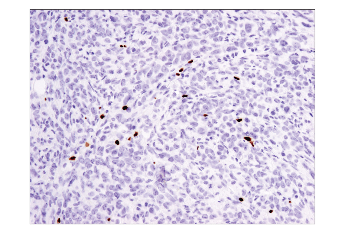
FoxP3 (D6O8R) Rabbit Monoclonal Antibody #12653

Filter:
  • IHC
  • IF
  • F

    Product Specifications

    REACTIVITY M Mk
    SENSITIVITY Endogenous
    MW (kDa)
    Source/Isotype Rabbit IgG
    Application Key:
    • IHC-Immunohistochemistry 
    • IF-Immunofluorescence 
    • F-Flow Cytometry 
    Species Cross-Reactivity Key:
    • M-Mouse 
    • Mk-Monkey 

    Product Information

    Product Usage Information

    Application Dilution
    IHC Leica Bond 1:800 - 1:3200
    Immunohistochemistry (Paraffin) 1:200 - 1:800
    Immunofluorescence (Frozen) 1:400 - 1:800
    Flow Cytometry (Fixed/Permeabilized) 1:50 - 1:200

    Storage

    Supplied in 10 mM sodium HEPES (pH 7.5), 150 mM NaCl, 100 µg/ml BSA, 50% glycerol and less than 0.02% sodium azide. Store at –20°C. Do not aliquot the antibody.

    For a carrier free (BSA and azide free) version of this product see product #72338.

    实验步骤

    Specificity / Sensitivity

    FoxP3 (D6O8R) Rabbit Monoclonal Antibody recognizes endogenous levels of total FoxP3 protein.

    Species Reactivity:

    Mouse, Monkey

    Source / Purification

    Monoclonal antibody is produced by immunizing animals with a synthetic peptide corresponding to residues surrounding Pro44 of mouse FoxP3 protein.

    Background

    Forkhead box (Fox) proteins are a family of evolutionarily conserved transcription factors containing a sequence known as Forkhead box or winged helix DNA binding domain (1). The human genome contains 43 Fox proteins that are divided into subfamilies. The FoxP subfamily has four members, FoxP1 - FoxP4, which are broadly expressed and play important roles in organ development, immune response, and cancer pathogenesis (2-4). The FoxP subfamily has several characteristics that are atypical among Fox proteins: their Forkhead domain is located at the carboxy-terminal region and they contain motifs that promote homo- and heterodimerization. FoxP proteins usually function as transcriptional repressors (4,5).

    FoxP3 is crucial for the development of T cells with regulatory properties (Treg) (6). Mutations in FoxP3 are associated with immune dysregulation, polyendocrinopathy, enteropathy, and X-linked syndrome (IPEX) (7), while overexpression in mice causes severe immunodeficiency (8). Research studies have shown that FoxP3 functions as a tumor suppressor in several types of cancer (9-11).

    Alternate Names

    AIID; DIETER; forkhead box P3; Forkhead box protein P3; Forkhead box protein P3 41 kDa form; Forkhead box protein P3, C-terminally processed; FOXP3; FOXP3delta7; immune dysregulation, polyendocrinopathy, enteropathy, X-linked; immunodeficiency, polyendocrinopathy, enteropathy, X-linked; IPEX; JM2; MGC141961; MGC141963; PIDX; Scurfin; XPID

    For Research Use Only. Not for Use in Diagnostic Procedures.
    Cell Signaling Technology is a trademark of Cell Signaling Technology, Inc.
    Alexa Fluor is a registered trademark of Life Technologies Corporation.
    All other trademarks are the property of their respective owners. Visit our Trademark Information page.