Cell Signaling Technology Logo - Extra Large
Trial Size Available Flag
Recombinant Flag
Recombinant: Superior lot-to-lot consistency, continuous supply, and animal-free manufacturing.

FOXG1 (E2W8P) Rabbit Monoclonal Antibody #29642

Filter:
  • WB
  • IHC
  • IF

    Product Specifications

    REACTIVITY H M
    SENSITIVITY Endogenous
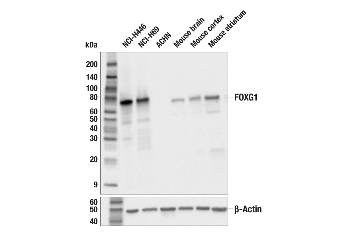
    MW (kDa) 75
    Source/Isotype Rabbit IgG
    Application Key:
    • WB-Western Blotting 
    • IHC-Immunohistochemistry 
    • IF-Immunofluorescence 
    Species Cross-Reactivity Key:
    • H-Human 
    • M-Mouse 

    Product Information

    Product Usage Information

    Application Dilution
    Western Blotting 1:1000
    Immunohistochemistry (Paraffin) 1:200 - 1:800
    Immunofluorescence (Frozen) 1:200 - 1:400

    Storage

    Supplied in 10 mM sodium HEPES (pH 7.5), 150 mM NaCl, 100 µg/mL BSA, 50% glycerol, and less than 0.02% sodium azide. Store at –20°C. Do not aliquot the antibody.

    实验步骤

    Specificity / Sensitivity

    FOXG1 (E2W8P) Rabbit Monoclonal Antibody recognizes endogenous levels of total FOXG1 protein. Non-specific staining was observed in mouse vas deferens by immunohistochemistry.

    Species Reactivity:

    Human, Mouse

    The antigen sequence used to produce this antibody shares 100% sequence homology with the species listed here, but reactivity has not been tested or confirmed to work by CST. Use of this product with these species is not covered under our Product Performance Guarantee.

    Species predicted to react based on 100% sequence homology:

    Rat

    Source / Purification

    Monoclonal antibody is produced by immunizing animals with a synthetic peptide corresponding to residues near the carboxy terminus of human FOXG1 protein.

    Background

    FOXG1 (Forkhead box G1) is a transcription factor that is a member of the Fox family of transcription factors, which are characterized by a conserved DNA-binding domain known as the forkhead domain (1). FOXG1 plays a crucial role in the development of the brain and nervous system and is expressed in the developing forebrain, where it regulates the proliferation and differentiation of neural progenitor cells. It is also essential for the formation of the cerebral cortex (2,3). Mutations in the FOXG1 gene have been linked to a rare neurological disorder called the FOXG1 syndrome, which is characterized by severe developmental delay, intellectual disability, and seizures. Studies have also suggested that FOXG1 may play a role in the development of certain types of brain tumors, such as glioblastoma (3).

    Alternate Names

    BF; BF-1; BF-2; BF1; BF2; Brain factor 1; Brain factor 2; FHKL3; FKH2; FKHL1; FKHL2; FKHL3; FKHL4; forkhead box G1; forkhead box G1A; forkhead box G1B; forkhead box G1C; Forkhead box protein G1; Forkhead box protein G1A; Forkhead box protein G1B; Forkhead box protein G1C; forkhead-like 1; forkhead-like 2; forkhead-like 3; forkhead-like 4; Forkhead-related protein FKHL1; Forkhead-related protein FKHL2; Forkhead-related protein FKHL3; forkhead, drosophila, homolog-like 2; FOXG1; FOXG1A; FOXG1B; FOXG1C; HBF-1; hBF-2; HBF-3; HBF-G2; HBF2; HFK1; HFK2; HFK3; KHL2; oncogene QIN; QIN

    For Research Use Only. Not for Use in Diagnostic Procedures.
    Cell Signaling Technology is a trademark of Cell Signaling Technology, Inc.
    All other trademarks are the property of their respective owners. Visit our Trademark Information page.