Cell Signaling Technology Logo - Extra Large
Trial Size Available Flag
Recombinant Flag
Recombinant: Superior lot-to-lot consistency, continuous supply, and animal-free manufacturing.

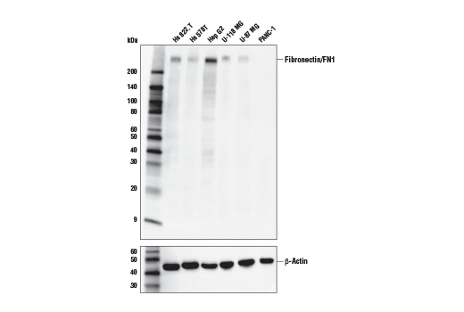
Fibronectin/FN1 (E5H6X) Rabbit Monoclonal Antibody #26836

Filter:
  • WB
  • IP
  • IHC
  • IF

    Product Specifications

    REACTIVITY H
    SENSITIVITY Endogenous
    MW (kDa) 300
    Source/Isotype Rabbit IgG
    Application Key:
    • WB-Western Blotting 
    • IP-Immunoprecipitation 
    • IHC-Immunohistochemistry 
    • IF-Immunofluorescence 
    Species Cross-Reactivity Key:
    • H-Human 

    Product Information

    Product Usage Information

    Application Dilution
    Western Blotting 1:1000
    Immunoprecipitation 1:100
    IHC Leica Bond 1:400 - 1:1600
    Immunohistochemistry (Paraffin) 1:100 - 1:400
    Immunofluorescence (Immunocytochemistry) 1:200 - 1:800

    Storage

    Supplied in 10 mM sodium HEPES (pH 7.5), 150 mM NaCl, 100 µg/ml BSA, 50% glycerol and less than 0.02% sodium azide. Store at –20°C. Do not aliquot the antibody.

    For a carrier free (BSA and azide free) version of this product see product #44800.

    实验步骤

    Specificity / Sensitivity

    Fibronectin/FN1 (E5H6X) Rabbit Monoclonal Antibody recognizes endogenous levels of total Fibronectin/FN1 protein.

    Species Reactivity:

    Human

    Source / Purification

    Monoclonal antibody is produced by immunizing animals with a protein fragment corresponding to residues near the carboxy terminus of human Fibronectin/FN1 protein.

    Background

    Fibronectin is a multi-domain extracellular matrix (ECM) protein. The protein uses its different domains to bind distinct ECM components such as collagens, growth factors, and cell surface integrins to carry on its functions (1). Fibronectin has been implicated in many essential biological processes, including tissue repair, fibrosis, and tumor development (1,2). There are many fibronectin isoforms. Plasma fibronectin is synthesized by hepatocytes and exists as a compact, inactive conformation in the bloodstream. It is a major component of fibrin clots. Upon binding to integrins or other cell surface receptors, fibronectin switches to an extended conformation, and exposes its function domains to activated extracellular matrix assembly (3). Fibroblasts, endothelial cells, and many types of cancer cells have also been shown to synthesize cellular fibronectin isoforms. Among them, the EDA or EDB isoforms are particularly highly expressed during fibrosis and cancer development, and are potential diagnostic and therapeutic targets (4-6).

    Alternate Names

    Anastellin; CIG; Cold-insoluble globulin; DKFZp686F10164; DKFZp686H0342; DKFZp686I1370; DKFZp686O13149; ED-B; epididymis secretory sperm binding protein; Fibronectin; fibronectin 1; FINC; FN; FN1; FNZ; GFND; GFND2; LETS; migration-stimulating factor; MSF; SMDCF; Ugl-Y1; Ugl-Y2; Ugl-Y3

    For Research Use Only. Not for Use in Diagnostic Procedures.
    Cell Signaling Technology is a trademark of Cell Signaling Technology, Inc.
    SignalStain is a registered trademark of Cell Signaling Technology, Inc.
    All other trademarks are the property of their respective owners. Visit our Trademark Information page.