Cell Signaling Technology Logo - Extra Large
Trial Size Available Flag
Recombinant Flag
Recombinant: Superior lot-to-lot consistency, continuous supply, and animal-free manufacturing.

FE65 (E4Y6C) Rabbit Monoclonal Antibody #29663

Filter:
  • WB

    Product Specifications

    REACTIVITY H M R
    SENSITIVITY Endogenous
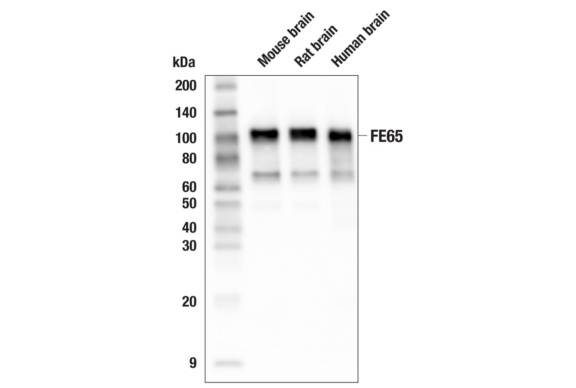
    MW (kDa) 100
    Source/Isotype Rabbit IgG
    Application Key:
    • WB-Western Blotting 
    Species Cross-Reactivity Key:
    • H-Human 
    • M-Mouse 
    • R-Rat 

    Product Information

    Product Usage Information

    Application Dilution
    Western Blotting 1:1000

    Storage

    Supplied in 10 mM sodium HEPES (pH 7.5), 150 mM NaCl, 100 µg/mL BSA, 50% glycerol, and less than 0.02% sodium azide. Store at –20°C. Do not aliquot the antibody.

    实验步骤

    Specificity / Sensitivity

    FE65 (E4Y6C) Rabbit Monoclonal Antibody recognizes endogenous levels of total FE65 protein. This antibody may detect non-specific bands of unknown origin at 19 kDa.

    Species Reactivity:

    Human, Mouse, Rat

    Source / Purification

    Monoclonal antibody is produced by immunizing animals with a synthetic peptide corresponding to residues surrounding Pro246 of human FE65 protein.

    Background

    FE65, FE65L1, and FE65L2 are members of the FE65 protein family. FE65 is an adaptor protein with protein-protein interaction domains, including a WW domain followed by two phosphotyrosine interaction domains (PID1 and PID2) (1). Amyloid-β (Aβ) precursor protein (APP) binds to PID2 and undergoes sequential cleavage. First, α-/β secretases cleave and release the ectodomain into the extracellular environment. Subsequent processing by the γ-secretase complex results in the APP intracellular domain (AICD) and the Aβ peptides. The latter Aβ fragments form the main components of amyloid plaques in patients with Alzheimer's disease (2). FE65 family members can regulate APP processing, resulting in elevated levels of Aβ (3). Double knockout mice of FE65 and FE65L1 display a phenotype that occurs in animals lacking APP family members, supporting a functional interaction between FE65 and APP (4).

    Alternate Names

    adaptor protein FE65a2; amyloid beta (A4) precursor protein-binding, family B, member 1 (Fe65); Amyloid beta A4 precursor protein-binding family B member 1; amyloid beta A4 precursor protein-binding, family B, member 1; Amyloid beta precursor protein binding family B member 1; Amyloid-beta A4 precursor protein-binding family B member 1; APBB1; FE65; MGC:9072; Protein Fe65; RIR; stat-like protein

    For Research Use Only. Not for Use in Diagnostic Procedures.
    Cell Signaling Technology is a trademark of Cell Signaling Technology, Inc.
    All other trademarks are the property of their respective owners. Visit our Trademark Information page.