Cell Signaling Technology Logo - Extra Large
Trial Size Available Flag
Recombinant Flag
Recombinant: Superior lot-to-lot consistency, continuous supply, and animal-free manufacturing.

Fc-gamma RIIB (D8F9C) Rabbit Monoclonal Antibody #96397

Filter:
  • WB
  • IP
  • IHC
  • F

    Product Specifications

    REACTIVITY M
    SENSITIVITY Endogenous
    MW (kDa) 60-80
    Source/Isotype Rabbit IgG
    Application Key:
    • WB-Western Blotting 
    • IP-Immunoprecipitation 
    • IHC-Immunohistochemistry 
    • F-Flow Cytometry 
    Species Cross-Reactivity Key:
    • M-Mouse 

    Product Information

    Product Usage Information

    Application Dilution
    Western Blotting 1:1000
    Immunoprecipitation 1:50
    IHC Leica Bond 1:100
    Immunohistochemistry (Paraffin) 1:100
    Flow Cytometry (Fixed/Permeabilized) 1:400

    Storage

    Supplied in 10 mM sodium HEPES (pH 7.5), 150 mM NaCl, 100 µg/ml BSA, 50% glycerol and less than 0.02% sodium azide. Store at –20°C. Do not aliquot the antibody.

    For a carrier free (BSA and azide free) version of this product see product #81563.

    实验步骤

    Specificity / Sensitivity

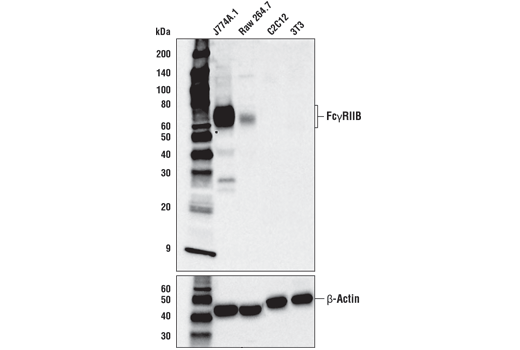
    Fc-gamma RIIB (D8F9C) Rabbit Monoclonal Antibody recognizes endogenous levels of total FcγRIIB protein. Please note that non-specific signal was observed in kidney tubules by IHC.

    Species Reactivity:

    Mouse

    Source / Purification

    Monoclonal antibody is produced by immunizing animals with a synthetic peptide corresponding to residues surrounding Pro284 of mouse FcγRIIB protein.

    Background

    FcγRIIB (CD32B) is a low affinity, IgG Fc-binding receptor expressed on B cells, monocytes, macrophages, and dendritic cells (DCs) (1-3). It is the inhibitory Fc receptor and signals through an immunoreceptor tyrosine-based inhibitory motif (ITIM) within its carboxy-terminal cytoplasmic tail (2). Binding of immune complexes to FcγRIIB results in tyrosine phosphorylation of the ITIM motif at Tyr292 and recruitment of the phosphatase SHIP, which mediates inhibitory effects on immune cell activation (2,4). In this way, FcγRIIB suppresses the effects of activating Fc-binding receptors (3). For example, mice deficient for FcγRIIB have greater T cell and DC responses following injection of immune complexes (5,6). In addition, FcγRIIB plays a role in B cell affinity maturation (7). Signaling through FcγRIIB in the absence of signaling through the B cell receptor (BCR) is proapoptotic, while signaling through FcγRIIB and the BCR simultaneously attenuates the apoptotic signal and results in selection of B cells with higher antigen affinity (7).

    Alternate Names

    AI528646; CD32; F630109E10Rik; Fc gamma receptor IIB; Fc gamma RIIB; Fc receptor, IgG, low affinity IIb; Fc-gamma RII; Fc-gamma-RII; Fc-gamma-RIIB; Fc[g]; Fc[g]RII; Fcg; Fcgamm; FcgammaRIIB; Fcgr; Fcgr2; Fcgr2a; Fcgr2b; FcgRII; Fcr-; Fcr-2; Fcr-3; FcRII; IgG Fc receptor II beta; Low affinity immunoglobulin gamma Fc region receptor II; low affinity immunoglobulin gamma Fc region receptor II-b; Ly-1; Ly-17; Ly-m2; Ly-m20; LyM-; LyM-1; Lymphocyte antigen 17; OTTMUSP00000024374; OTTMUSP00000024375

    For Research Use Only. Not for Use in Diagnostic Procedures.
    Cell Signaling Technology is a trademark of Cell Signaling Technology, Inc.
    Alexa Fluor is a registered trademark of Life Technologies Corporation.
    All other trademarks are the property of their respective owners. Visit our Trademark Information page.