Cell Signaling Technology Logo - Extra Large
Trial Size Available Flag
Recombinant Flag
Recombinant: Superior lot-to-lot consistency, continuous supply, and animal-free manufacturing.

Fascin (D1A8) Rabbit Monoclonal Antibody #9269

Filter:
  • WB

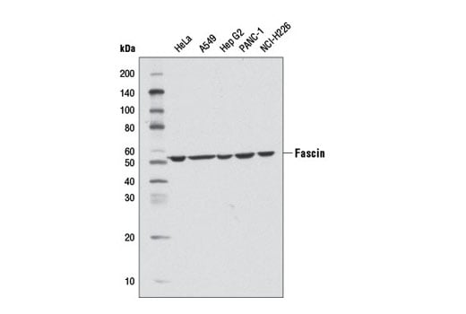
    Product Specifications

    REACTIVITY H M Mk
    SENSITIVITY Endogenous
    MW (kDa) 54
    Source/Isotype Rabbit IgG
    Application Key:
    • WB-Western Blotting 
    Species Cross-Reactivity Key:
    • H-Human 
    • M-Mouse 
    • Mk-Monkey 

    Product Information

    Product Usage Information

    Application Dilution
    Western Blotting 1:1000

    Storage

    Supplied in 10 mM sodium HEPES (pH 7.5), 150 mM NaCl, 100 µg/ml BSA, 50% glycerol and less than 0.02% sodium azide. Store at –20°C. Do not aliquot the antibody.

    实验步骤

    Specificity / Sensitivity

    Fascin (D1A8) Rabbit Monoclonal Antibody recognizes endogenous levels of total fascin protein.

    Species Reactivity:

    Human, Mouse, Monkey

    Source / Purification

    Monoclonal antibody is produced by immunizing animals with a synthetic peptide corresponding to residues surrounding Arg201 of human fascin protein.

    Background

    Fascin is a monomeric, globular protein that plays a central role in regulating the structure and function of the cortical actin cytoskeleton (1). Fascin promotes cross-linkage of parallel actin filaments during the formation of cell protrusions (lamellipodia and filopodia), and therefore plays an important role in regulating cell migration (2). It has been reported that fascin may also regulate filopodia formation by a mechanism independent of its actin-bundling functions (3), though less is known about this mechanism of action. Research studies have shown that increased fascin expression is associated with increased motility and invasiveness of neoplastic cells, including breast, colon, prostate, and esophageal squamous cell carcinomas (4-6). Fascin binds to the armadillo-repeat domain of β-catenin in vitro and in vivo, and has been shown to co-localize with β-catenin and cadherins at the leading edge of migratory cells (7).

    Alternate Names

    55 kDa actin-bundling protein; actin bundling protein; epididymis secretory sperm binding protein; FAN1; Fascin; fascin 1; fascin actin-bundling protein 1; fascin homolog 1, actin-bundling protein; fascin homolog 1, actin-bundling protein (Strongylocentrotus purpuratus); FLJ38511; FSCN1; HSN; p55; singed-like (fascin homolog, sea urchin); Singed-like protein; Singed, drosophila, homolog-like; SNL

    For Research Use Only. Not for Use in Diagnostic Procedures.
    Cell Signaling Technology is a trademark of Cell Signaling Technology, Inc.
    All other trademarks are the property of their respective owners. Visit our Trademark Information page.