Render Target: STATIC
Render Timestamp:
5/25/2026, 7:48:34 PM EDT
5/25/2026, 11:48:34 PM UTC
Commit: 7ed46ecc04b401f23a28df741b5078df405d23e4
XML generation date: 2026-02-18 12:08:50.282
Product last modified at: 2026-03-20T08:07:42.610Z
Cell Signaling Technology Logo - Extra Large
1% for the planet logo
PDP - Template Name: Monoclonal Antibody
PDP - Template ID: *******c5e4b77
Trial Size Available Flag
Recombinant Flag
Recombinant: Superior lot-to-lot consistency, continuous supply, and animal-free manufacturing.

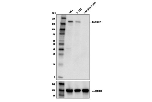
FANCD2 (D5L5X) Rabbit Monoclonal Antibody #16323

Filter:
  • WB
  • IP
  • IF

    Product Specifications

    REACTIVITY H
    SENSITIVITY Endogenous
    MW (kDa) 155, 162
    Source/Isotype Rabbit IgG
    Application Key:
    • WB-Western Blotting 
    • IP-Immunoprecipitation 
    • IF-Immunofluorescence 
    Species Cross-Reactivity Key:
    • H-Human 

    Product Information

    Product Usage Information

    Application Dilution
    Western Blotting 1:1000
    Immunoprecipitation 1:50
    Immunofluorescence (Immunocytochemistry) 1:100 - 1:400

    Storage

    Supplied in 10 mM sodium HEPES (pH 7.5), 150 mM NaCl, 100 µg/ml BSA, 50% glycerol and less than 0.02% sodium azide. Store at –20°C. Do not aliquot the antibody.

    实验步骤

    Specificity / Sensitivity

    FANCD2 (D5L5X) Rabbit Monoclonal Antibody recognizes endogenous levels of total FANCD2 protein.

    Species Reactivity:

    Human

    Source / Purification

    Monoclonal antibody is produced by immunizing animals with a synthetic peptide corresponding to residues surrounding Gly995 of human FANCD2 protein.

    Background

    Fanconi anemia (FA) is an autosomal recessive genetic disorder resulting in symptoms that include chromosomal breakage, bone marrow failure, hypersensitivity to DNA cross-linking agents (such as mitomycin C), and a predisposition to cancer (1). In response to DNA damage, the FA nuclear complex (FANCA, FANCB, FANCC, FANCE, FANCF, FANCG, FANCM) induces mono-ubiquitination of FANCD2 and FANCI (2).Monoubiquitination of FANCD2 induces localization of FANCD2 to sites of DNA damage, where it interacts with BRCA1. FANCJ/BRIP1, FANCD1/BRCA2, and FANCN/PALB2 are also recruited to sites of DNA damage (3).

    Alternate Names

    DKFZp762A223; FA complementation group D2; FA-D2; FA4; FACD; FACD2; FAD; FAD2; FANCD; FANCD2; Fanconi anemia complementation group D2; Fanconi anemia group D2 protein; Fanconi anemia, complementation group D2; FLJ23826; Protein FACD2; type 4 Fanconi pancytopenia

    For Research Use Only. Not for Use in Diagnostic Procedures.
    Cell Signaling Technology is a trademark of Cell Signaling Technology, Inc.
    All other trademarks are the property of their respective owners. Visit our Trademark Information page.