Cell Signaling Technology Logo - Extra Large
Trial Size Available Flag
Recombinant Flag
Recombinant: Superior lot-to-lot consistency, continuous supply, and animal-free manufacturing.

FAM122A (E3X4R) Rabbit Monoclonal Antibody #24179

Filter:
  • WB
  • IP

    Product Specifications

    REACTIVITY H M R
    SENSITIVITY Endogenous
    MW (kDa) 45
    Source/Isotype Rabbit IgG
    Application Key:
    • WB-Western Blotting 
    • IP-Immunoprecipitation 
    Species Cross-Reactivity Key:
    • H-Human 
    • M-Mouse 
    • R-Rat 

    Product Information

    Product Usage Information

    Application Dilution
    Western Blotting 1:1000
    Simple Western™ 1:10 - 1:50
    Immunoprecipitation 1:100

    Storage

    Supplied in 10 mM sodium HEPES (pH 7.5), 150 mM NaCl, 100 µg/mL BSA, 50% glycerol, and less than 0.02% sodium azide. Store at –20°C. Do not aliquot the antibody.

    实验步骤

    Specificity / Sensitivity

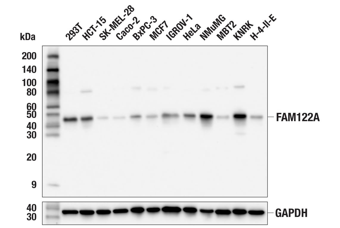
    FAM122A (E3X4R) Rabbit Monoclonal Antibody recognizes endogenous levels of total FAM122A protein. By western blot, this antibody may detect a band of unknown origin at approximately 80 kDa in some samples.

    Species Reactivity:

    Human, Mouse, Rat

    Source / Purification

    Monoclonal antibody is produced by immunizing animals with a synthetic peptide corresponding to residues surrounding Ala132 of human FAM122A protein.

    Background

    FAM122A is an inhibitor of serine/threonine-protein phosphatase 2A (PP2A) activity and stability (1). FAM122A promotes the growth of hepatocellular carcinoma (HCC) and acute myeloid leukemia (AML) cells, and increased expression of FAM122A has been reported in HCC and AML cancers (2,3). Chk1 phosphorylates FAM122A at Ser37, inactivating FAM122A, and therefore activating PP2A. PP2A promotes G2/M checkpoint activation through dephosphorylation of the CDK1 inhibitory kinase WEE1. CRISPR knockout of FAM122A confers resistance to inhibitors of Chk1 and ATR in lung cancer cell lines. Expression of FAM122A may serve as a biomarker for sensitivity to Chk1 inhibitors, which are under investigation for the treatment of non-small cell lung cancer (NSCLC) and other cancers (4).

    Alternate Names

    C9orf42; FAM122A; family with sequence similarity 122A; MGC17347; PABIR family member 1; PBIR1; PPP2R1A-PPP2R2A-interacting phosphatase regulator 1; Protein FAM122A

    For Research Use Only. Not for Use in Diagnostic Procedures.
    Cell Signaling Technology is a trademark of Cell Signaling Technology, Inc.
    All other trademarks are the property of their respective owners. Visit our Trademark Information page.