Cell Signaling Technology Logo - Extra Large
Trial Size Available Flag
Recombinant Flag
Recombinant: Superior lot-to-lot consistency, continuous supply, and animal-free manufacturing.

FABP3 (F1E1W) Rabbit Monoclonal Antibody #92185

Filter:
  • WB

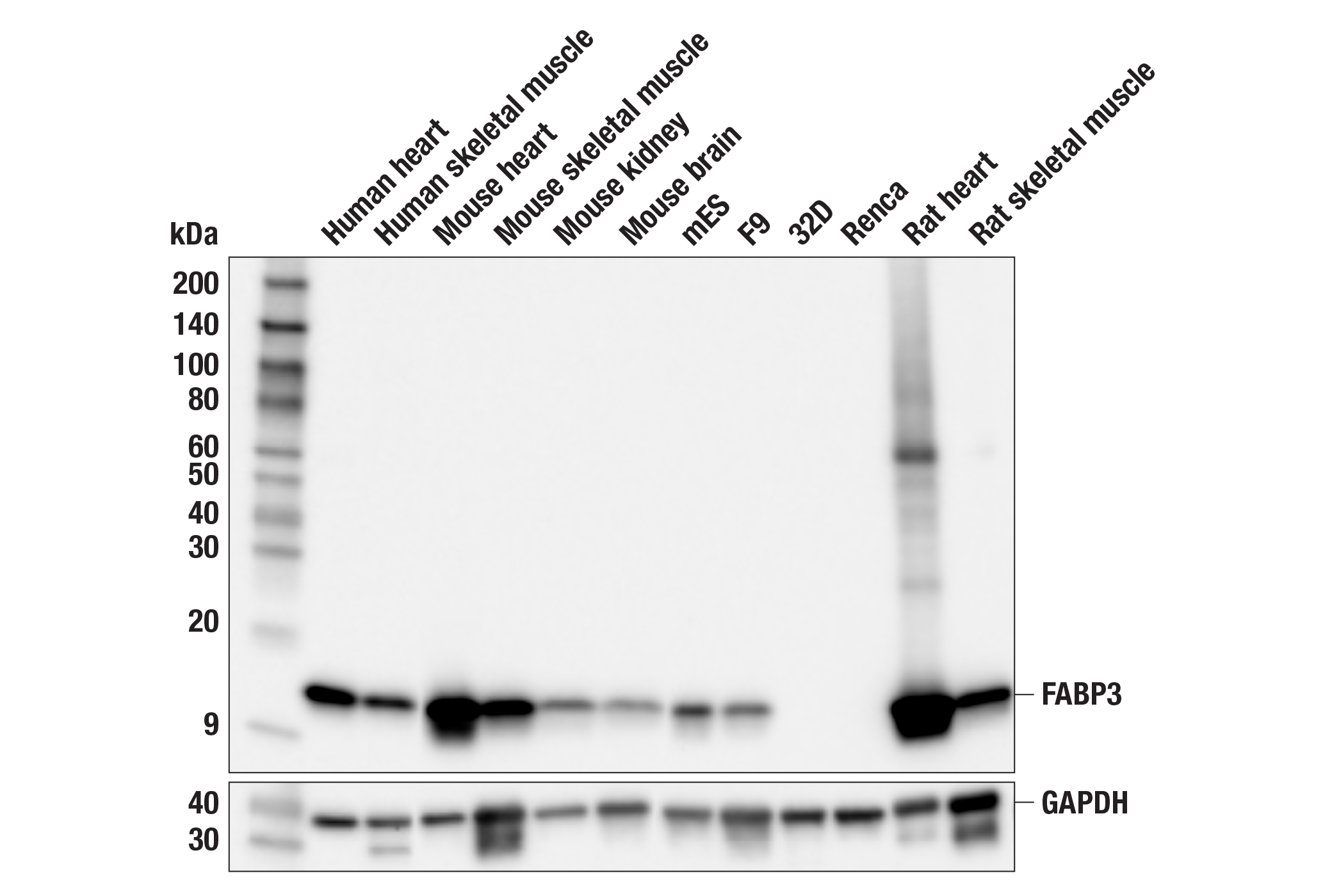
    Product Specifications

    REACTIVITY H M R
    SENSITIVITY Endogenous
    MW (kDa) 14
    Source/Isotype Rabbit IgG
    Application Key:
    • WB-Western Blotting 
    Species Cross-Reactivity Key:
    • H-Human 
    • M-Mouse 
    • R-Rat 

    Product Information

    Product Usage Information

    Application Dilution
    Western Blotting 1:1000
    Simple Western™ 1:10 - 1:50

    Storage

    Supplied in 10 mM sodium HEPES (pH 7.5), 150 mM NaCl, 100 µg/mL BSA, 50% glycerol, and less than 0.02% sodium azide. Store at –20°C. Do not aliquot the antibody.

    实验步骤

    Specificity / Sensitivity

    FABP3 (F1E1W) Rabbit Monoclonal Antibody recognizes endogenous levels of total FABP3 protein.

    Species Reactivity:

    Human, Mouse, Rat

    Source / Purification

    Monoclonal antibody is produced by immunizing animals with recombinant protein specific to the amino terminus of mouse FABP3 protein.

    Background

    Fatty acid binding proteins (FABPs) are cytoplasmic lipid chaperones that bind fatty acids and lipids for transport to various cellular components (1,2). Research studies demonstrate differential FABP expression in various tumor types and their corresponding normal cell counterparts (3). Fatty acid binding protein 3 (FABP3) is predominantly expressed in heart, skeletal muscle, brain, and mammary gland (4). FABP3 may play a role in supplying energy to the heart and other tissues (5). FABP3 release from the heart upon infarction is used as a serum marker for myocardial stress and cardiotoxicity (6). Additional studies suggest that FABP3 is a potential tumor suppressor in breast cancer (7). It was also identified as a potential cerebrospinal fluid (CSF) biomarker for Alzheimer's disease (AD) and therapeutic target for Parkinson's disease (PD) (8,9).

    Alternate Names

    Fab; Fabp; Fabp3; FABPH; Fabph-1; Fabph-4; Fabph1; Fabph4; fatty acid binding protein 3, muscle and heart; fatty acid binding protein heart 1; fatty acid binding protein heart 4; Fatty acid-binding protein 3; Fatty acid-binding protein, heart; H-FA; H-FABP; Heart-type fatty acid-binding protein; Mammary-derived growth inhibitor; Mdg; MDGI; OTTMUSP00000009984

    For Research Use Only. Not for Use in Diagnostic Procedures.
    Cell Signaling Technology is a trademark of Cell Signaling Technology, Inc.
    All other trademarks are the property of their respective owners. Visit our Trademark Information page.