Cell Signaling Technology Logo - Extra Large
Trial Size Available Flag
Recombinant Flag
Recombinant: Superior lot-to-lot consistency, continuous supply, and animal-free manufacturing.

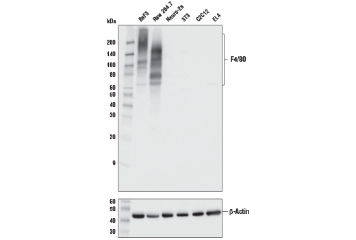
F4/80 (D2S9R) Rabbit Monoclonal Antibody #70076

Filter:
  • WB
  • IP
  • IHC

    Product Specifications

    REACTIVITY M
    SENSITIVITY Endogenous
    MW (kDa) 65-250
    Source/Isotype Rabbit IgG
    Application Key:
    • WB-Western Blotting 
    • IP-Immunoprecipitation 
    • IHC-Immunohistochemistry 
    Species Cross-Reactivity Key:
    • M-Mouse 

    Product Information

    Product Usage Information

    Application Dilution
    Western Blotting 1:1000
    Immunoprecipitation 1:200
    Immunohistochemistry (Paraffin) 1:125 - 1:500

    Storage

    Supplied in 10 mM sodium HEPES (pH 7.5), 150 mM NaCl, 100 µg/ml BSA, 50% glycerol and less than 0.02% sodium azide. Store at –20°C. Do not aliquot the antibody.

    For a carrier free (BSA and azide free) version of this product see product #25514.

    实验步骤

    Specificity / Sensitivity

    F4/80 (D2S9R) Rabbit Monoclonal Antibody recognizes endogenous levels of total F4/80 protein.

    Species Reactivity:

    Mouse

    Source / Purification

    Monoclonal antibody is produced by immunizing animals with recombinant mouse F4/80 protein.

    Background

    F4/80 (EMR1) is a heavily glycosylated G-protein-coupled receptor and is a well-established marker for mouse macrophages (1-3). Expression of F4/80 has also been observed in microglia and subset populations of dendritic cells (4).

    Alternate Names

    Adgre1; Adhesion G protein-coupled receptor E1; AGRE1; Cell surface glycoprotein F4/80; DD7A5-; DD7A5-7; EGF-like module containing, mucin-like, hormone receptor-like sequence 1; EGF-like module receptor 1; EGF-like module-containing mucin-like hormone receptor-like 1; EGF-TM7; Emr; Emr1; EMR1 hormone receptor; F4/80; Gpf480; Ly7; Ly71; lymphocyte antigen 71; TM7L; TM7LN3

    For Research Use Only. Not for Use in Diagnostic Procedures.
    Cell Signaling Technology is a trademark of Cell Signaling Technology, Inc.
    SignalStain is a registered trademark of Cell Signaling Technology, Inc.
    All other trademarks are the property of their respective owners. Visit our Trademark Information page.