Cell Signaling Technology Logo - Extra Large
Recombinant Flag
Recombinant: Superior lot-to-lot consistency, continuous supply, and animal-free manufacturing.

ERp44 (D17A6) Rabbit Monoclonal Antibody (BSA and Azide Free) #89694

Filter:
  • WB
  • IHC

    Product Specifications

    REACTIVITY H M R Mk
    SENSITIVITY Endogenous
    MW (kDa) 44
    Source/Isotype Rabbit IgG
    Application Key:
    • WB-Western Blotting 
    • IHC-Immunohistochemistry 
    Species Cross-Reactivity Key:
    • H-Human 
    • M-Mouse 
    • R-Rat 
    • Mk-Monkey 

    Product Information

    Product Usage Information

    This product is the carrier free version of product #3798. All data were generated using the same antibody clone in the standard formulation which contains BSA and glycerol.

    This formulation is ideal for use with technologies requiring specialized or custom antibody labeling, including fluorophores, metals, lanthanides, and oligonucleotides. It is not recommended for ChIP, ChIP-seq, CUT&RUN or CUT&Tag assays. If you require a carrier free formulation for chromatin profiling, please contact us. Optimal dilutions/concentrations should be determined by the end user.

    BSA and Azide Free antibodies are quality control tested by size exclusion chromatography (SEC) to determine antibody integrity.

    Formulation

    Supplied in 1X PBS (10 mM Na2HPO4, 3 mM KCl, 2 mM KH2PO4, and 140 mM NaCl (pH 7.8)). BSA and Azide Free.

    For standard formulation of this product see product #3798

    Storage

    Store at -20°C. This product will freeze at -20°C so it is recommended to aliquot into single-use vials to avoid multiple freeze/thaw cycles. A slight precipitate may be present and can be dissolved by gently vortexing. This will not interfere with antibody performance.

    Specificity / Sensitivity

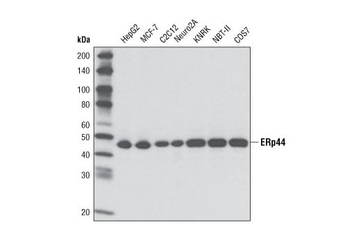
    ERp44 (D17A6) Rabbit Monoclonal Antibody (BSA and Azide Free) detects endogenous levels of total ERp44 protein.

    Species Reactivity:

    Human, Mouse, Rat, Monkey

    Source / Purification

    Monoclonal antibody is produced by immunizing animals with a synthetic peptide corresponding to the sequence of human ERp44.

    Background

    Secretory proteins translocate into the endoplasmic reticulum (ER) after their synthesis where they are post-translationally modified and properly folded. To reach their native conformation, many secretory proteins require the formation of intra- or inter-molecular disulfide bonds (1). This process is called oxidative protein folding. Disulfide isomerase (PDI) has two thioredoxin homology domains and catalyzes the formation and isomerization of these disulfide bonds (2). Other ER resident proteins that possess the thioredoxin homology domains, including endoplasmic reticulum resident protein 44 (ERp44), constitute the PDI family (2). ERp44 is induced upon ER stress and is linked to Ero1-Lα and Ero1-Lβ through mixed disulfide bonds (3). ERp44 was shown to mediate the ER localization of Ero1-Lα (4).

    Alternate Names

    endoplasmic reticulum protein 44; Endoplasmic reticulum resident protein 44; endoplasmic reticulum resident protein 44 kDa; epididymis secretory sperm binding protein; ER protein 44; ERP44; KIAA0573; PDIA10; protein disulfide isomerase family A, member 10; thioredoxin domain containing 4 (endoplasmic reticulum); thioredoxin domain-containing protein 4; TXNDC4

    For Research Use Only. Not for Use in Diagnostic Procedures.
    Cell Signaling Technology is a trademark of Cell Signaling Technology, Inc.
    All other trademarks are the property of their respective owners. Visit our Trademark Information page.