Render Target: STATIC
Render Timestamp:
5/21/2026, 8:49:39 PM EDT
5/22/2026, 12:49:39 AM UTC
Commit: 7ed46ecc04b401f23a28df741b5078df405d23e4
XML generation date: 2025-12-15 22:01:10.477
Product last modified at: 2026-03-20T08:08:10.239Z
Cell Signaling Technology Logo - Extra Large
1% for the planet logo
PDP - Template Name: Monoclonal Antibody
PDP - Template ID: *******c5e4b77
Trial Size Available Flag
Recombinant Flag
Recombinant: Superior lot-to-lot consistency, continuous supply, and animal-free manufacturing.

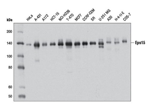
Eps15 (D3K8R) Rabbit Monoclonal Antibody #12460

Filter:
  • WB
  • IP
  • IF

    Product Specifications

    REACTIVITY H M R Mk
    SENSITIVITY Endogenous
    MW (kDa) 138
    Source/Isotype Rabbit IgG
    Application Key:
    • WB-Western Blotting 
    • IP-Immunoprecipitation 
    • IF-Immunofluorescence 
    Species Cross-Reactivity Key:
    • H-Human 
    • M-Mouse 
    • R-Rat 
    • Mk-Monkey 

    Product Information

    Product Usage Information

    Application Dilution
    Western Blotting 1:1000
    Immunoprecipitation 1:100
    Immunofluorescence (Immunocytochemistry) 1:200

    Storage

    Supplied in 10 mM sodium HEPES (pH 7.5), 150 mM NaCl, 100 µg/ml BSA, 50% glycerol and less than 0.02% sodium azide. Store at –20°C. Do not aliquot the antibody.

    实验步骤

    Specificity / Sensitivity

    Eps15 (D3K8R) Rabbit Monoclonal Antibody recognizes endogenous levels of total Eps15 protein. Based upon sequence alignment, this antibody is predicted to react with both Eps15a and Eps15b. This antibody does not cross-react with Eps15R.

    Species Reactivity:

    Human, Mouse, Rat, Monkey

    The antigen sequence used to produce this antibody shares 100% sequence homology with the species listed here, but reactivity has not been tested or confirmed to work by CST. Use of this product with these species is not covered under our Product Performance Guarantee.

    Species predicted to react based on 100% sequence homology:

    Chicken, Xenopus, Dog, Horse

    Source / Purification

    Monoclonal antibody is produced by immunizing animals with a synthetic peptide corresponding to residues surrounding Pro630 of human Eps15 protein.

    Background

    Eps15 (EGFR pathway substrate 15) was originally discovered as a substrate for the kinase activity of EGFR (1). Eps15 has a tripartite structure comprising an amino terminal portion, which contains three evolutionarily conserved EH protein-protein interaction domains, a central putative coiled-coil region required for constitutive oligmerization, and a carboxy terminal domain containing multiple copies of the amino acid triplet Asp-Pro-Phe that constitute the AP2 binding domain. The carboxy terminal domain also contains two ubiquitin interaction motifs (UIMs), the last of which is indespensible for Eps15 binding to ubiquitin (1). Several lines of evidence support a role for Eps15 in clathrin-mediated endocytosis, including the endocytosis of synaptic vesicles. Eps15 binds to AP2 as well as other proteins involved in endocytosis and/or synaptic vesicle recycling, such as synaptojanin1 and epsin. Furthermore, Eps15 colocalizes with markers of the plasma membrane clathrin-coated pits and vesicles (2). Eps15 regulates the endosomal trafficking of c-Met (3) and EGFR (4), possibly by recruiting the ubiquitinated receptors to the rims of clathrin-coated pits through interaction between the ubiquitin tag and its UIMs.

    The EPS15 gene yields two isoforms that are believed to reside in distinct subcellular locations and are thus implicated in different facets of endosomal trafficking (5). Human EPS15 has been mapped to chromosome 1p31-p32, a region displaying several nonrandom chromosomal abnormalities, including deletions in neuroblastoma and translocations in acute lymphoblastic and myeloid leukemias. Research has shown two translocations t(1;11)(p32;q11) are found in rare cases of myeloid leukemia where the Eps15 gene was fused to the HRX gene, resulting in two reciprocal fusion genes (6).

    Alternate Names

    AF-1P; AF1P; ALL1 fused gene from chromosome 1; epidermal growth factor receptor pathway substrate 15; Epidermal growth factor receptor substrate 15; EPS15; MLLT5; Protein AF-1p; Protein Eps15

    For Research Use Only. Not for Use in Diagnostic Procedures.
    Cell Signaling Technology is a trademark of Cell Signaling Technology, Inc.
    All other trademarks are the property of their respective owners. Visit our Trademark Information page.