Cell Signaling Technology Logo - Extra Large

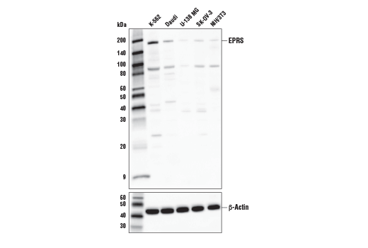
EPRS Antibody #45956

Filter:
  • WB

    Product Specifications

    REACTIVITY H M R
    SENSITIVITY Endogenous
    MW (kDa) 180
    SOURCE Rabbit
    Application Key:
    • WB-Western Blotting 
    Species Cross-Reactivity Key:
    • H-Human 
    • M-Mouse 
    • R-Rat 

    Product Information

    Product Usage Information

    Application Dilution
    Western Blotting 1:1000

    Storage

    Supplied in 10 mM sodium HEPES (pH 7.5), 150 mM NaCl, 100 µg/ml BSA and 50% glycerol. Store at –20°C. Do not aliquot the antibody.

    实验步骤

    Specificity / Sensitivity

    EPRS Antibody recognizes endogenous levels of total EPRS protein.

    Species Reactivity:

    Human, Mouse, Rat

    Source / Purification

    Polyclonal antibodies are produced by immunizing animals with a synthetic peptide corresponding to residues surrounding Pro978 of human EPRS protein. Antibodies are purified by protein A and peptide affinity chromatography.

    Background

    EPRS (Glutamatyl-prolyl-tRNA synthetase) is a bifunctional enzyme in the aminoacyl-tRNA ligase family that attaches the cognate amino acid to the corresponding tRNA for protein translation (1,2). EPRS usually resides in the tRNA multisynthetase complex (MSC) that may facilitate the delivery of aminoacylated tRNAs to the ribosome during protein synthesis (3,4). In monocytic cells, upon interferon (IFN)-gamma activation, EPRS becomes phosphorylated and is released from the MSC to form the so-called GAIT (IFN-Gamma-Activated Inhibitor of Translation) complex with NS1-associated protein (NSAP1), ribosomal protein L13a, and glyceraldehyde 3-phosphate dehydrogenase (GAPDH). The GAIT complex binds to a defined RNA element through EPRS in the 3’ untranslated region (UTR) to inhibit translation of target transcripts, including vascular endothelial growth factor (VEGF)-A, ceruloplasmin, and several cytokines and their receptors. Thus, EPRS plays an important role in inflammation regulation (5-9).

    Alternate Names

    Bifunctional aminoacyl-tRNA synthetase; Bifunctional glutamate/proline--tRNA ligase; Cell proliferation-inducing gene 32 protein; DKFZp313B047; EARS; EPRS; EPRS1; GLNS; GLUPRORS; GluRS; glutamate tRNA ligase; Glutamate--tRNA ligase; Glutamatyl-prolyl-tRNA synthetase; glutaminyl-tRNA synthetase; glutamyl-prolyl-tRNA synthetase; glutamyl-prolyl-tRNA synthetase 1; Glutamyl-tRNA synthetase; HLD15; PARS; PIG32; proliferation-inducing gene 32 protein; proliferation-inducing protein 32; proline tRNA ligase; Proline--tRNA ligase; proline-tRNA ligase; Prolyl-tRNA synthetase; QARS; QPRS; SYEP

    For Research Use Only. Not for Use in Diagnostic Procedures.
    Cell Signaling Technology is a trademark of Cell Signaling Technology, Inc.
    All other trademarks are the property of their respective owners. Visit our Trademark Information page.