Cell Signaling Technology Logo - Extra Large

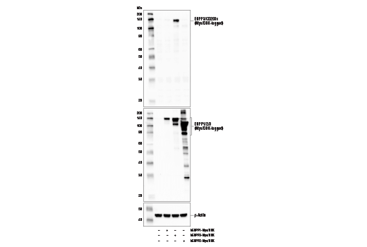
ENPP3/CD203c Antibody #75442

Filter:
  • WB
  • IP

    Product Specifications

    REACTIVITY H M
    SENSITIVITY Endogenous
    MW (kDa) 140
    SOURCE Rabbit
    Application Key:
    • WB-Western Blotting 
    • IP-Immunoprecipitation 
    Species Cross-Reactivity Key:
    • H-Human 
    • M-Mouse 

    Product Information

    Product Usage Information

    Application Dilution
    Western Blotting 1:1000
    Immunoprecipitation 1:50

    Storage

    Supplied in 10 mM sodium HEPES (pH 7.5), 150 mM NaCl, 100 µg/ml BSA and 50% glycerol. Store at –20°C. Do not aliquot the antibody.

    实验步骤

    Specificity / Sensitivity

    ENPP3/CD203c Antibody recognizes endogenous levels of total ENPP3/CD203c protein. This antibody does not cross-react with either ENPP1 or ENPP2 proteins.

    Species Reactivity:

    Human, Mouse

    Source / Purification

    Polyclonal antibodies are produced by immunizing animals with a synthetic peptide corresponding to residues near the carboxy terminus of human ENPP3/CD203c protein. Antibodies are purified by protein A and peptide affinity chromatography.

    Background

    Ectonucleotide pyrophosphatase/phosphodiesterase 3 (ENPP3/CD203c/PD-Ιbeta) is a type-II transmembrane glycoprotein that contains a large extracellular domain, an α-helical transmembrane segment, and a short cytoplasmic domain containing the N-terminus. ENPP3 has been shown to be overexpressed in colon carcinoma and is thought to play a role in tumor initiation and tumor cell invasiveness (1-3). Within the hematopoietic cell compartment, ENPP3 is a cell surface marker of basophil and mast cell lineages (4,5). Indeed, ENPP3 is overexpressed on transformed mast cells in patients with systemic mastocytosis (6). Recently, ENPP3 has been identified as being highly overexpressed in renal cell carcinoma (RCC) and may have potential as a novel therapeutic target for this disease (7).

    Alternate Names

    Alkaline phosphodiesterase I; B10; CD203c; dJ1005H11.3 (phosphodiesterase I/nucleotide pyrophosphatase 3); dJ914N13.3 (phosphodiesterase I/nucleotide pyrophosphatase 3); E-NPP 3; ectonucleotide pyrophosphatase/phosphodiesterase 3; Ectonucleotide pyrophosphatase/phosphodiesterase family member 3; ENPP3; gp130RB13-6; MAFP; major acidic fibroblast growth factor stimulated phosphoprotein; NPP3; NPPase; Nucleotide diphosphatase; Nucleotide pyrophosphatase; PD-Ibeta; PDNP3; Phosphodiesterase I beta; Phosphodiesterase I/nucleotide pyrophosphatase 3; phosphodiesterase-I beta

    For Research Use Only. Not for Use in Diagnostic Procedures.
    Cell Signaling Technology is a trademark of Cell Signaling Technology, Inc.
    All other trademarks are the property of their respective owners. Visit our Trademark Information page.