Render Target: STATIC
Render Timestamp:
5/28/2026, 7:48:39 PM EDT
5/28/2026, 11:48:39 PM UTC
Commit: 7ed46ecc04b401f23a28df741b5078df405d23e4
XML generation date: 2025-11-12 16:12:26.423
Product last modified at: 2026-03-20T08:05:54.120Z
Cell Signaling Technology Logo - Extra Large
1% for the planet logo
PDP - Template Name: Monoclonal Antibody
PDP - Template ID: *******c5e4b77
Trial Size Available Flag
Recombinant Flag
Recombinant: Superior lot-to-lot consistency, continuous supply, and animal-free manufacturing.

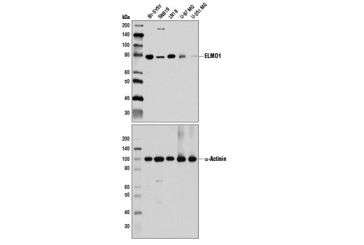
ELMO1 (D4K2E) Rabbit Monoclonal Antibody #14457

Filter:
  • WB
  • IP

    Product Specifications

    REACTIVITY H
    SENSITIVITY Endogenous
    MW (kDa) 80
    Source/Isotype Rabbit IgG
    Application Key:
    • WB-Western Blotting 
    • IP-Immunoprecipitation 
    Species Cross-Reactivity Key:
    • H-Human 

    Product Information

    Product Usage Information

    Application Dilution
    Western Blotting 1:1000
    Immunoprecipitation 1:50

    Storage

    Supplied in 10 mM sodium HEPES (pH 7.5), 150 mM NaCl, 100 µg/ml BSA, 50% glycerol and less than 0.02% sodium azide. Store at –20°C. Do not aliquot the antibody.

    实验步骤

    Specificity / Sensitivity

    ELMO1 (D4K2E) Rabbit Monoclonal Antibody recognizes endogenous levels of total ELMO1 protein.

    Species Reactivity:

    Human

    Source / Purification

    Monoclonal antibody is produced by immunizing animals with a synthetic peptide corresponding to residues surrounding Ala567 of human ELMO1 protein.

    Background

    Engulfment and cell motility 1 (ELMO1) is a cell motility and migration protein that interacts with DOCK180 to form an atypical, two-part guanine nucleotide exchange factor (GEF) for the small GTPase Rac (1). The resultant localized Rac activation allows actin nucleation via WAVE family proteins, signaling to integrins, formation of lamellipodia and filopodia, and regulation of processes including phagocytosis and cell migration (2-4). Research studies indicate that DOCK180 and ELMO1 regulate cell migration in lymphocytes (5) and in ovarian cancer cells (6). ELMO1 also promotes Rac1-dependent cell motility through its interaction with the adaptor protein Nck-1 (7), and binds Arhgef16 to promote RhoG/Rac1-dependent engulfment of apoptotic cells by phagocytes (8). Polymorphisms in the corresponding ELMO1 gene may be associated with susceptibility to diabetic neuropathy seen in selected populations of type II diabetic patients (9,10).

    Alternate Names

    CED-12; ced-12 homolog 1; CED12; ELMO-1; ELMO1; engulfment and cell motility 1; Engulfment and cell motility protein 1; KIAA0281; MGC126406; Protein ced-12 homolog

    For Research Use Only. Not for Use in Diagnostic Procedures.
    Cell Signaling Technology is a trademark of Cell Signaling Technology, Inc.
    All other trademarks are the property of their respective owners. Visit our Trademark Information page.