Cell Signaling Technology Logo - Extra Large
Trial Size Available Flag
Recombinant Flag
Recombinant: Superior lot-to-lot consistency, continuous supply, and animal-free manufacturing.

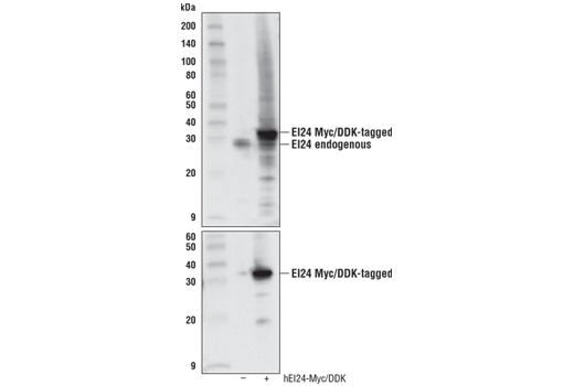
EI24 (D3F6Z) Rabbit Monoclonal Antibody #42328

Filter:
  • WB
  • IP

    Product Specifications

    REACTIVITY H M R
    SENSITIVITY Endogenous
    MW (kDa) 30
    Source/Isotype Rabbit IgG
    Application Key:
    • WB-Western Blotting 
    • IP-Immunoprecipitation 
    Species Cross-Reactivity Key:
    • H-Human 
    • M-Mouse 
    • R-Rat 

    Product Information

    Product Usage Information

    Application Dilution
    Western Blotting 1:1000
    Immunoprecipitation 1:200

    Storage

    Supplied in 10 mM sodium HEPES (pH 7.5), 150 mM NaCl, 100 µg/ml BSA, 50% glycerol and less than 0.02% sodium azide. Store at –20°C. Do not aliquot the antibody.

    Protocol

    Specificity / Sensitivity

    EI24 (D3F6Z) Rabbit Monoclonal Antibody recognizes endogenous levels of total EI24 protein.

    Species Reactivity:

    Human, Mouse, Rat

    Source / Purification

    Monoclonal antibody is produced by immunizing animals with a synthetic peptide corresponding to residues surrounding Ala31 of human EI24 protein.

    Background

    Etoposide-induced 2.4 mRNA (EI24)/p53-induced gene 8 (PIG8) was identified as a DNA damage response gene induced by etoposide in a p53 dependent manner with roles in growth suppression and apoptosis (1-3). As a pro-apoptotic gene, some evidence suggests that EI24 functions as a tumor suppressor gene in cases such as breast and cervical cancer (4-6). The mechanism of EI24 is still unclear, but studies have shown that it can localize to the endoplasmic reticulum and associate with Bcl-2 and could regulate apoptosis through regulation of Bcl-2 function (7). Liver-specific deletions of EI24 in mice show impaired autophagic flux, suggesting that it may also play a role in regulating basal autophagy (8). EI24 was shown to be involved in the autophagic degradation of many RING E3 ligases (9). In addition, decreased expression of EI24 in epithelial tumor cells induced epithelial-to-mesenchymal transition (EMT) (10). Together these studies suggest multiple mechanisms for EI24 to regulate tumor progression that includes regulation of apoptosis, autophagy, and EMT.

    Alternate Names

    ectopic P-granules autophagy protein 4 homolog; EI24; EI24 autophagy associated transmembrane protein; EPG4; etoposide induced 2.4; etoposide induced 2.4 mRNA; Etoposide-induced protein 2.4 homolog; p53-induced gene 8 protein; PIG8; TP53I8; tumor protein p53 inducible protein 8

    For Research Use Only. Not for Use in Diagnostic Procedures.
    Cell Signaling Technology is a trademark of Cell Signaling Technology, Inc.
    All other trademarks are the property of their respective owners. Visit our Trademark Information page.