Render Target: STATIC
Render Timestamp:
5/19/2026, 8:55:34 PM EDT
5/20/2026, 12:55:34 AM UTC
Commit: 7ed46ecc04b401f23a28df741b5078df405d23e4
XML generation date: 2025-11-12 16:16:48.726
Product last modified at: 2026-03-20T08:03:02.229Z
Cell Signaling Technology Logo - Extra Large
1% for the planet logo
PDP - Template Name: Monoclonal Antibody
PDP - Template ID: *******c5e4b77
Trial Size Available Flag
Recombinant Flag
Recombinant: Superior lot-to-lot consistency, continuous supply, and animal-free manufacturing.

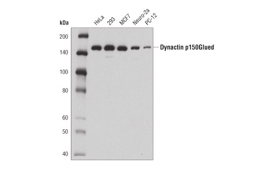
Dynactin p150Glued (D1W1O) Rabbit Monoclonal Antibody #69399

Filter:
  • WB
  • IP
  • IHC

    Product Specifications

    REACTIVITY H M R
    SENSITIVITY Endogenous
    MW (kDa) 150
    Source/Isotype Rabbit IgG
    Application Key:
    • WB-Western Blotting 
    • IP-Immunoprecipitation 
    • IHC-Immunohistochemistry 
    Species Cross-Reactivity Key:
    • H-Human 
    • M-Mouse 
    • R-Rat 

    Product Information

    Product Usage Information

    Application Dilution
    Western Blotting 1:1000
    Immunoprecipitation 1:50
    Immunohistochemistry (Paraffin) 1:100

    Storage

    Supplied in 10 mM sodium HEPES (pH 7.5), 150 mM NaCl, 100 µg/ml BSA, 50% glycerol and less than 0.02% sodium azide. Store at –20°C. Do not aliquot the antibody.

    实验步骤

    Specificity / Sensitivity

    Dynactin p150Glued (D1W1O) Rabbit Monoclonal Antibody recognizes endogenous levels of total dynactin p150Glued protein. Based on the amino acid sequence of the peptide antigen used, this antibody is expected to detect all isoforms of dynactin p150Glued, including p135.

    Species Reactivity:

    Human, Mouse, Rat

    Source / Purification

    Monoclonal antibody is produced by immunizing animals with a synthetic peptide corresponding to residues surrounding Val1206 of human dynactin p150Glued protein.

    Background

    Cytoplasmic dynein is a multi-subunit motor complex that regulates microtubule organization as well as the transport and positioning of organelles. Dynactin is a multi-subunit dynein-activating complex, which regulates the interaction of the dynein motor with various cellular cargoes, and enhances dynein’s processivity. p150Glued/DCTN1/Dynactin 1 is the largest subunit of the dynactin complex (1-3). In mitosis, cytoplasmic dynein regulates spindle organization, chromosome movement and centrosome separation (4). The dynactin subunit p150Glued is phosphorylated at serine 19 by the mitotic kinase aurora A during anaphase, and this phosphorylation is required for the appropriate regulation of spindle assembly (5). In neurons, axonal transport is important for cellular function and survival. Dysfunction and mutations in dynein and dynactin subunits, including p150Glued, have been linked to human neurodegenerative diseases such as Alzheimer’s Disease (6-7), Perry Syndrome (8) and ALS (9).

    Alternate Names

    150 kDa dynein-associated polypeptide; DAP-150; DCTN1; DP-150; dynactin 1; dynactin 1 (p150, glued homolog, Drosophila); Dynactin subunit 1; HMN7B; p135; p150-glued; p150, Glued homolog

    For Research Use Only. Not for Use in Diagnostic Procedures.
    Cell Signaling Technology is a trademark of Cell Signaling Technology, Inc.
    SignalStain is a registered trademark of Cell Signaling Technology, Inc.
    All other trademarks are the property of their respective owners. Visit our Trademark Information page.