Cell Signaling Technology Logo - Extra Large
Trial Size Available Flag
Recombinant Flag
Recombinant: Superior lot-to-lot consistency, continuous supply, and animal-free manufacturing.

DRP1 (D8H5) Rabbit Monoclonal Antibody #5391

Filter:
  • WB
  • IP

    Product Specifications

    REACTIVITY H M R Mk
    SENSITIVITY Endogenous
    MW (kDa) 78-82
    Source/Isotype Rabbit IgG
    Application Key:
    • WB-Western Blotting 
    • IP-Immunoprecipitation 
    Species Cross-Reactivity Key:
    • H-Human 
    • M-Mouse 
    • R-Rat 
    • Mk-Monkey 

    Product Information

    Product Usage Information

    Application Dilution
    Western Blotting 1:1000
    Immunoprecipitation 1:100

    Storage

    Supplied in 10 mM sodium HEPES (pH 7.5), 150 mM NaCl, 100 µg/ml BSA, 50% glycerol and less than 0.02% sodium azide. Store at –20°C. Do not aliquot the antibody.

    For a carrier free (BSA and azide free) version of this product see product #54675.

    实验步骤

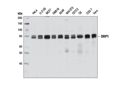
    Specificity / Sensitivity

    DRP1 (D8H5) Rabbit Monoclonal Antibody recognizes endogenous levels of total DRP1 protein.

    Species Reactivity:

    Human, Mouse, Rat, Monkey

    Source / Purification

    Monoclonal antibody is produced by immunizing animals with a recombinant protein specific to the carboxy terminus of human DRP1 protein.

    Background

    Dynamin-related protein 1 (DRP1) is a member of the dynamin superfamily of GTPases. Members of this family have diverse cellular functions including vesicle scission, organelle fission, viral resistance, and intracellular trafficking (reviewed in 1). DRP1 affects mitochondrial morphology and is important in mitochondrial and peroxisomal fission in mammalian cells (2-5). The yeast ortholog of DRP1 clusters into a spiral-shaped structure on the mitochondrial membrane at the site of fission (reviewed in 6), and this structure is likely conserved in mammalian cells (3). The division of the mitochondria, which is required for apoptosis, as well as normal cell growth and development is controlled, in part, by the phosphorylation of DRP1 at Ser616 by Cdk1/cyclin B and at Ser637 by protein kinase A (PKA) (reviewed in 6). When phosphorylated at Ser616, DRP1 stimulates mitochondrial fission during mitosis. Conversely, fission is inhibited when DRP1 is phosphorylated at Ser637 (reviewed in 6). Dephosphorylation at Ser637 by calcineurin reverses this inhibition (7). In addition to phosphorylation, sumoylation of DRP1 is also an enhancer of mitochondrial fission (8). Balancing fission and fusion events is essential for proper mitochondrial function. Research studies have demonstrated mitochondrial defects in a variety of neurodegenerative diseases including Alzheimer’s disease, Parkinson’s disease, and Huntington’s disease (reviewed in 6).

    Alternate Names

    DLP1; DNM1L; Dnm1p/Vps1p-like protein; DRP1; DVLP; Dymple; dynamin 1 like; dynamin 1-like; Dynamin family member proline-rich carboxyl-terminal domain less; Dynamin-1-like protein; Dynamin-like protein; Dynamin-like protein 4; Dynamin-like protein IV; Dynamin-related protein 1; DYNIV-11; EMPF; EMPF1; FLJ41912; HdynIV; OPA5; VPS1

    For Research Use Only. Not for Use in Diagnostic Procedures.
    Cell Signaling Technology is a trademark of Cell Signaling Technology, Inc.
    All other trademarks are the property of their respective owners. Visit our Trademark Information page.