Cell Signaling Technology Logo - Extra Large
Trial Size Available Flag
Recombinant Flag
Recombinant: Superior lot-to-lot consistency, continuous supply, and animal-free manufacturing.

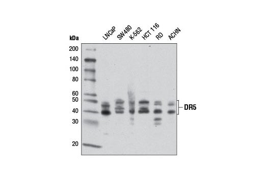
DR5 (D4E9) Rabbit Monoclonal Antibody #8074

Filter:
  • WB
  • IP
  • IF

    Product Specifications

    REACTIVITY H
    SENSITIVITY Endogenous
    MW (kDa) 40, 48
    Source/Isotype Rabbit IgG
    Application Key:
    • WB-Western Blotting 
    • IP-Immunoprecipitation 
    • IF-Immunofluorescence 
    Species Cross-Reactivity Key:
    • H-Human 

    Product Information

    Product Usage Information

    Application Dilution
    Western Blotting 1:1000
    Immunoprecipitation 1:100
    Immunofluorescence (Immunocytochemistry) 1:50

    Storage

    Supplied in 10 mM sodium HEPES (pH 7.5), 150 mM NaCl, 100 µg/ml BSA, 50% glycerol and less than 0.02% sodium azide. Store at –20°C. Do not aliquot the antibody.

    For a carrier free (BSA and azide free) version of this product see product #83026.

    实验步骤

    Specificity / Sensitivity

    DR5 (D4E9) Rabbit Monoclonal Antibody recognizes endogenous levels of total DR5 protein. This antibody detects both the short and long isoforms of DR5.

    Species Reactivity:

    Human

    Source / Purification

    Monoclonal antibody is produced by immunizing animals with a synthetic peptide corresponding to residues surrounding Arg260 within the cytoplasmic region of human DR5 protein.

    Background

    The tumor necrosis factor receptor family, which includes TNF-RI, Fas, DR3, DR4, DR5, and DR6, plays an important role in the regulation of apoptosis in various physiological systems (1,2). The receptors are activated by a family of cytokines that include TNF, FasL, and TNF-related apoptosis-inducing ligand (TRAIL). They are characterized by a highly conserved extracellular region containing cysteine-rich repeats and a conserved intracellular region of about 80 amino acids termed the death domain (DD). The DD is important for transducing the death signal by recruiting other DD containing adaptor proteins (FADD, TRADD, RIP) to the death-inducing signaling complex (DISC), resulting in activation of caspases.
    DR5 is a receptor for TNF-related apoptosis inducing ligand (TRAIL), which has been shown to induce apoptosis in a variety of cell types and has been targeted for cancer therapy (1-5). Structurally, DR5 contains an amino-terminal leader cleavage site, followed by an extracellular region containing two cysteine-rich repeats, a central transmembrane domain, and a carboxy-terminal DD. DR5 is expressed in a wide variety of tissues and is a transcriptional target of p53 (6-8). It induces apoptosis through a FADD-dependent pathway. Deletion of DR5 leads to resistance in TRAIL-mediated apoptosis as well as an abrogated response to DNA-damaging stimuli (9). At least two isoforms of DR5 are produced by alternative splicing (10).

    Alternate Names

    apoptosis inducing protein TRICK2A/2B; apoptosis inducing receptor TRAIL-R2; CD262; cytotoxic TRAIL receptor-2; death domain containing receptor for TRAIL/Apo-2L; death receptor 5; DR5; Fas-like protein; KILLER; KILLER/DR5; p53-regulated DNA damage-inducible cell death receptor(killer); TNF receptor superfamily member 10b; TNF-related apoptosis-inducing ligand receptor 2; TNFRSF10B; TR10B; TRAIL receptor 2; TRAIL-R2; TRAILR2; TRICK2; TRICK2A; TRICK2B; TRICKB; Tumor necrosis factor receptor superfamily member 10B; tumor necrosis factor receptor superfamily, member 10b; tumor necrosis factor receptor-like protein ZTNFR9; ZTNFR9

    For Research Use Only. Not for Use in Diagnostic Procedures.
    Cell Signaling Technology is a trademark of Cell Signaling Technology, Inc.
    All other trademarks are the property of their respective owners. Visit our Trademark Information page.