Cell Signaling Technology Logo - Extra Large
Trial Size Available Flag
Recombinant Flag
Recombinant: Superior lot-to-lot consistency, continuous supply, and animal-free manufacturing.

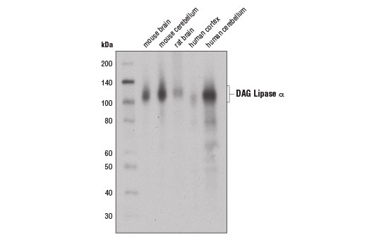
DAG Lipase alpha (D3G8H) Rabbit Monoclonal Antibody #13626

Filter:
  • WB
  • IP

    Product Specifications

    REACTIVITY H M R
    SENSITIVITY Endogenous
    MW (kDa) 115
    Source/Isotype Rabbit IgG
    Application Key:
    • WB-Western Blotting 
    • IP-Immunoprecipitation 
    Species Cross-Reactivity Key:
    • H-Human 
    • M-Mouse 
    • R-Rat 

    Product Information

    Product Usage Information

    Application Dilution
    Western Blotting 1:1000
    Immunoprecipitation 1:50

    Storage

    Supplied in 10 mM sodium HEPES (pH 7.5), 150 mM NaCl, 100 µg/ml BSA, 50% glycerol and less than 0.02% sodium azide. Store at –20°C. Do not aliquot the antibody.

    Protocol

    Specificity / Sensitivity

    DAG Lipase alpha (D3G8H) Rabbit Monoclonal Antibody recognizes endogenous levels of total DAG lipase α protein. This antibody is not predicted to cross-react with DAG lipase β based on sequence homology of the antigen.

    Species Reactivity:

    Human, Mouse, Rat

    Source / Purification

    Monoclonal antibody is produced by immunizing animals with a synthetic peptide corresponding to residues surrounding Ser791 of human DAG lipase α protein.

    Background

    Diacylglycerol (DAG) lipases comprise two enzymes called DAG lipase α and β, which are the products of two related genes (1). DAG lipases are transmembrane proteins composed of a short amino-terminal intracellular domain, four transmembrane domains, and a large carboxy-terminal cytoplasmic domain containing the active site. These enzymes are responsible for the biosynthesis of 2-acylglycerol from diacylglycerol in a calcium-dependent manner (1). One of the major endocannabinoid ligands that activate cannabinoid receptors, 2-arachidonyl glycerol (2-AG), is produced by DAG lipases (2). Research studies suggest that DAG lipase α is the isoform primarily responsible for the central production of 2-AG (3). DAG lipase β has been implicated in studies of 2-AG production at the periphery in specific cell types and pathophysiological contexts, such as in hepatic stellate cells during alcohol induced fatty liver (4).

    Alternate Names

    C11orf11; DAGL-alpha; DAGL(ALPHA); DAGLA; DAGLALPHA; DGL-alpha; DGLA; diacylglycerol lipase alpha; Diacylglycerol lipase-alpha; diacylglycerol lipase, alpha; KIAA0659; Neural stem cell-derived dendrite regulator; NSDDR; Sn1-specific diacylglycerol lipase alpha

    For Research Use Only. Not for Use in Diagnostic Procedures.
    Cell Signaling Technology is a trademark of Cell Signaling Technology, Inc.
    All other trademarks are the property of their respective owners. Visit our Trademark Information page.