Cell Signaling Technology Logo - Extra Large
Recombinant Flag
Recombinant: Superior lot-to-lot consistency, continuous supply, and animal-free manufacturing.

CYR61 (E5W3H) Rabbit Monoclonal Antibody (BSA and Azide Free) #56138

Filter:
  • WB
  • IHC

    Product Specifications

    REACTIVITY H M
    SENSITIVITY Endogenous
    MW (kDa) 41
    Source/Isotype Rabbit IgG
    Application Key:
    • WB-Western Blotting 
    • IHC-Immunohistochemistry 
    Species Cross-Reactivity Key:
    • H-Human 
    • M-Mouse 

    Product Information

    Product Usage Information

    This product is the carrier free version of product #39382. All data were generated using the same antibody clone in the standard formulation which contains BSA and glycerol.

    This formulation is ideal for use with technologies requiring specialized or custom antibody labeling, including fluorophores, metals, lanthanides, and oligonucleotides. It is not recommended for ChIP, ChIP-seq, CUT&RUN or CUT&Tag assays. If you require a carrier free formulation for chromatin profiling, please contact us. Optimal dilutions/concentrations should be determined by the end user.

    BSA and Azide Free antibodies are quality control tested by size exclusion chromatography (SEC) to determine antibody integrity.

    Formulation

    Supplied in 1X PBS (10 mM Na2HPO4, 3 mM KCl, 2 mM KH2PO4, and 140 mM NaCl (pH 7.8)). BSA and Azide Free.

    For standard formulation of this product see product #39382

    Storage

    Store at -20°C. This product will freeze at -20°C so it is recommended to aliquot into single-use vials to avoid multiple freeze/thaw cycles. A slight precipitate may be present and can be dissolved by gently vortexing. This will not interfere with antibody performance.

    Specificity / Sensitivity

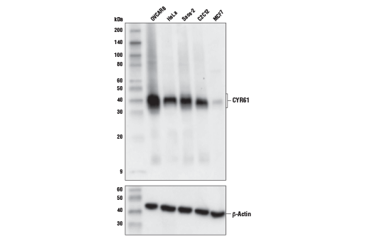
    CYR61 (E5W3H) Rabbit Monoclonal Antibody (BSA and Azide Free) recognizes endogenous levels of total CYR61 protein. Based on amino acid sequence comparisons, this antibody is not predicted to cross-react with other CCN-family proteins.

    Species Reactivity:

    Human, Mouse

    The antigen sequence used to produce this antibody shares 100% sequence homology with the species listed here, but reactivity has not been tested or confirmed to work by CST. Use of this product with these species is not covered under our Product Performance Guarantee.

    Species predicted to react based on 100% sequence homology:

    Rat

    Source / Purification

    Monoclonal antibody is produced by immunizing animals with a synthetic peptide corresponding to residues surrounding Asn103 of human CYR61 protein.

    Background

    Cysteine-rich protein 61 (CYR61, CCN1) is a secreted, matrix-associated protein belonging to the CCN family, a protein group characterized primarily by its high cysteine content (1). CYR61 regulates diverse cellular events including cell proliferation, differentiation, angiogenesis, and extracellular matrix formation. Research studies have implicated CYR61 in the development or progression of various cancers, including breast, prostate, lung, and hepatocellular carcinoma (1-4). Notably, its role in promoting cancer progression appears to be context-dependent. For example, investigators have shown that overexpression of CYR61 was positively associated with invasiveness of breast cancer cell lines (2), whereas in primary prostate tumors, expression levels were inversely correlated with tumor aggressiveness (3). In additional research studies of hepatocellular carcinoma, where CYR61 expression was positively associated with cancer progression, CYR61 was shown to be transcriptionally regulated by the Wnt/β-catenin signaling pathway (1).

    Alternate Names

    CCN family member 1; CCN1; cellular communication network factor 1; CYR61; cysteine rich angiogenic inducer 61; Cysteine-rich angiogenic inducer 61; cysteine-rich heparin-binding protein 61; cysteine-rich, angiogenic inducer, 61; cysteine-rich, anigogenic inducer, 61; GIG1; IBP-10; IGF-binding protein 10; IGFBP-10; IGFBP10; Insulin-like growth factor-binding protein 10; Protein CYR61; Protein GIG1

    For Research Use Only. Not for Use in Diagnostic Procedures.
    Cell Signaling Technology is a trademark of Cell Signaling Technology, Inc.
    All other trademarks are the property of their respective owners. Visit our Trademark Information page.