Cell Signaling Technology Logo - Extra Large
Trial Size Available Flag
Recombinant Flag
Recombinant: Superior lot-to-lot consistency, continuous supply, and animal-free manufacturing.

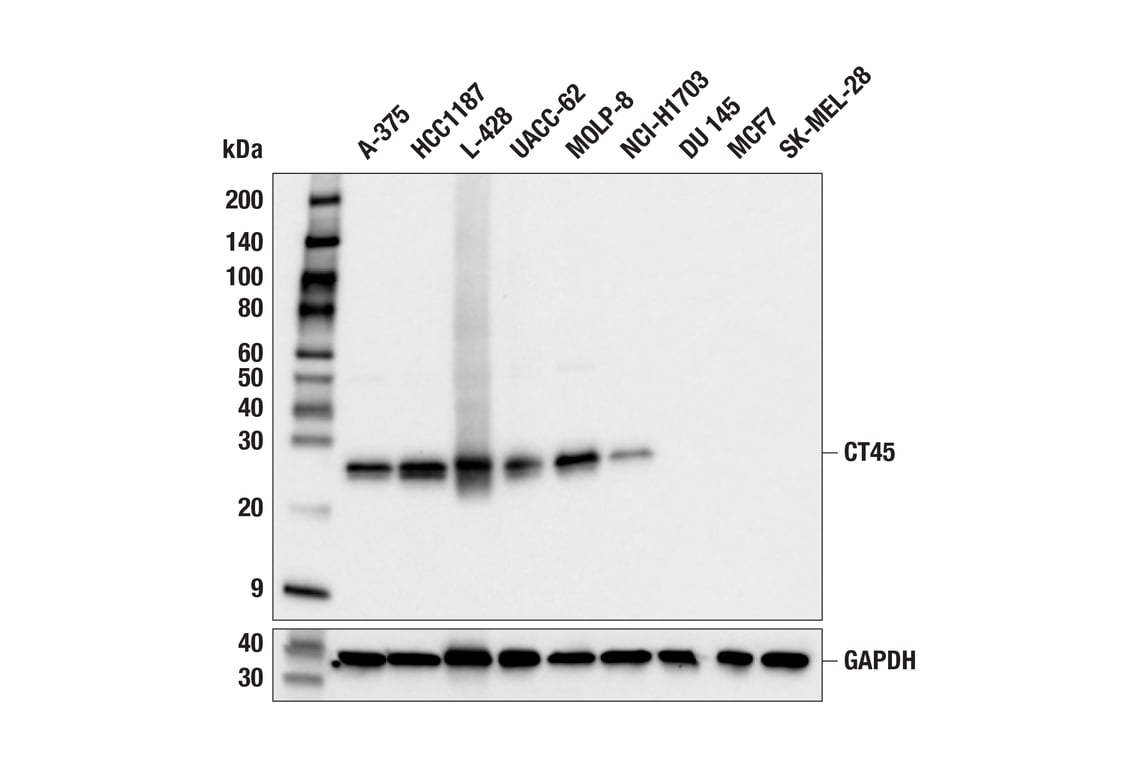
CT45 (F7S2I) Rabbit Monoclonal Antibody #35981

Filter:
  • WB
  • IP
  • IHC
  • F

    Product Specifications

    REACTIVITY H
    SENSITIVITY Endogenous
    MW (kDa) 26
    Source/Isotype Rabbit IgG
    Application Key:
    • WB-Western Blotting 
    • IP-Immunoprecipitation 
    • IHC-Immunohistochemistry 
    • F-Flow Cytometry 
    Species Cross-Reactivity Key:
    • H-Human 

    Product Information

    Product Usage Information

    Application Dilution
    Western Blotting 1:1000
    Immunoprecipitation 1:200
    Immunohistochemistry (Paraffin) 1:4000
    Flow Cytometry (Fixed/Permeabilized) 1:2400 - 1:9600

    Storage

    Supplied in 10 mM sodium HEPES (pH 7.5), 150 mM NaCl, 100 µg/mL BSA, 50% glycerol, and less than 0.02% sodium azide. Store at –20°C. Do not aliquot the antibody.

    Protocol

    Specificity / Sensitivity

    CT45 (F7S2I) Rabbit Monoclonal Antibody recognizes endogenous levels of total CT45 protein. This antibody is predicted to cross-react with all CT45 family members.

    Species Reactivity:

    Human

    Source / Purification

    Monoclonal antibody is produced by immunizing animals with a synthetic peptide corresponding to residues surrounding Val15 of human CT45-1 protein.

    Background

    Cancer/testis antigens (CTAs) are a family of more than 100 proteins whose normal expression is largely restricted to immune-privileged germ cells of the testis, ovary, and trophoblast cells of the placenta. Although most normal somatic tissues are void of CTA expression, due to epigenetic silencing of gene expression, their expression is upregulated in a wide variety of human solid and liquid tumors (1,2). As such, CTAs have garnered much attention as attractive targets for a variety of immunotherapy-based approaches to selectively attack tumors (3).

    The CT45 family is a tandem cluster of highly similar genes that share many features with other classic CT genes, including Xq localization, multigene family, and identical or near-identical gene copies, indicating recent gene duplications (4). The nuclear protein antigen CT45 is often highly expressed in lung cancer and ovarian cancer, and the frequency and characteristics of CT45 expression are similar to those of other CT cancer vaccine targets currently in clinical trials, including NY-ESO-1 and MAGE-A (5). Overexpression of CT45A1 in breast cancer cells was found to upregulate various oncogenic and metastatic genes, promote epithelial-mesenchymal transition, and increase cell stemness, tumorigenesis, and metastasis (6). Additionally, research studies have shown that CT45A1 silencing suppresses cell proliferation and metastasis in breast and lung cancer cells by downregulating the ERK/CREB signaling pathway (6,7). Therefore, CT45A1 and other CT45 family members are excellent targets for anticancer drug discovery and targeted tumor therapy.

    Alternate Names

    Cancer/testis antigen 45-1; Cancer/testis antigen 45A1; cancer/testis antigen CT45-1; Cancer/testis antigen family 45 member A1; cancer/testis antigen family 45, member A1; CT45; CT45-1; CT45.1; CT451; CT45A1

    For Research Use Only. Not for Use in Diagnostic Procedures.
    Cell Signaling Technology is a trademark of Cell Signaling Technology, Inc.
    All other trademarks are the property of their respective owners. Visit our Trademark Information page.