Cell Signaling Technology Logo - Extra Large
Trial Size Available Flag
Recombinant Flag
Recombinant: Superior lot-to-lot consistency, continuous supply, and animal-free manufacturing.

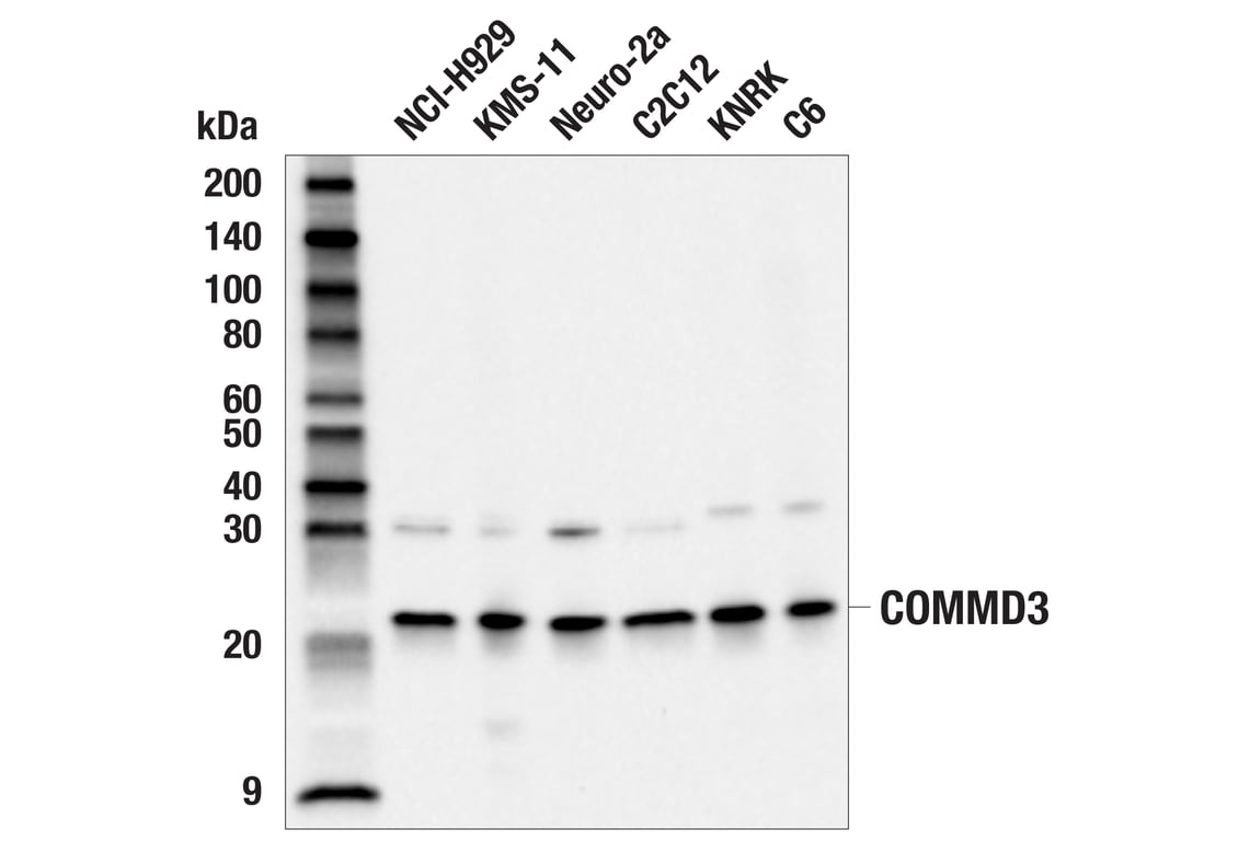
COMMD3 (E2X1V) Rabbit Monoclonal Antibody #98494

Filter:
  • WB
  • IP

    Product Specifications

    REACTIVITY H M R
    SENSITIVITY Endogenous
    MW (kDa) 21
    Source/Isotype Rabbit IgG
    Application Key:
    • WB-Western Blotting 
    • IP-Immunoprecipitation 
    Species Cross-Reactivity Key:
    • H-Human 
    • M-Mouse 
    • R-Rat 

    Product Information

    Product Usage Information

    Application Dilution
    Western Blotting 1:1000
    Immunoprecipitation 1:100

    Storage

    Supplied in 10 mM sodium HEPES (pH 7.5), 150 mM NaCl, 100 µg/mL BSA, 50% glycerol, and less than 0.02% sodium azide. Store at –20°C. Do not aliquot the antibody.

    实验步骤

    Specificity / Sensitivity

    COMMD3 (E2X1V) Rabbit Monoclonal Antibody recognizes endogenous levels of total COMMD3 protein.

    Species Reactivity:

    Human, Mouse, Rat

    The antigen sequence used to produce this antibody shares 100% sequence homology with the species listed here, but reactivity has not been tested or confirmed to work by CST. Use of this product with these species is not covered under our Product Performance Guarantee.

    Species predicted to react based on 100% sequence homology:

    Bovine

    Source / Purification

    Monoclonal antibody is produced by immunizing animals with a synthetic peptide corresponding to residues surrounding Lys187 of human COMMD3 protein.

    Background

    The COMMD/CCDC93/CCDC22 (CCC) protein complex contains any one of ten COMMD proteins. The CCC complex, which is a subcomplex of the commander complex, plays a key role in protecting the stability and promoting endosomal recycling of cell surface transmembrane proteins (1-3). Indeed, research studies have demonstrated that COMMD3 regulates endosomal trafficking of HER2 (4). In line with its roll in modulating endosomal trafficking of proteins, multiple functional genetic screens identified COMMD3 as a SARS-CoV-2 proviral host factor (5,6).

    Alternate Names

    BUP; C10orf8; COMD3; COMM domain containing 3; COMM domain-containing protein 3; COMMD3; DKFZp686K0399; FLJ45471; Protein Bup; Protein PIL

    For Research Use Only. Not for Use in Diagnostic Procedures.
    Cell Signaling Technology is a trademark of Cell Signaling Technology, Inc.
    All other trademarks are the property of their respective owners. Visit our Trademark Information page.