COL5A1 Antibody #37304
Filter:
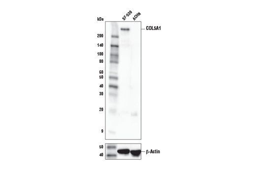
- WB
Product Specifications
| REACTIVITY | H |
| SENSITIVITY | Endogenous |
| MW (kDa) | 250 |
| SOURCE | Rabbit |
Application Key:
- WB-Western Blotting
Species Cross-Reactivity Key:
- H-Human
Product Information
Product Usage Information
| Application | Dilution |
|---|---|
| Western Blotting | 1:1000 |
Storage
Supplied in 10 mM sodium HEPES (pH 7.5), 150 mM NaCl, 100 µg/ml BSA and 50% glycerol. Store at –20°C. Do not aliquot the antibody.
实验步骤
Specificity / Sensitivity
COL5A1 Antibody recognizes endogenous levels of total COL5A1 protein.
Species Reactivity:
Human
Source / Purification
Polyclonal antibodies are produced by immunizing animals with a synthetic peptide corresponding to residues surrounding Pro364 of human COL5A1 protein. Antibodies are purified by peptide affinity chromatography.
Background
The Extracellular Matrix (ECM) is a complex network of macromolecules that provides structural tissue support to cells in the basement membrane and interstitial matrix. It is composed of many molecules including proteins, glycoproteins, proteoglycans, and polysaccharides (1,2). One of the major proteins that comprises the ECM, and the human body, is collagen. Collagens are a large family of proteins. They are trimeric molecules comprised of three alpha polypeptide chains that form a triple helix structure that is characteristic of all collagens (3). The large family of collagens is divided into three subgroups: the fibrillar collagens, the non-fibril forming collagens, and the fibril-associated collagens. These sub groups differ in their structure and supramolecular assembly (3). COL5A1 is a minor fibrillar collagen expressed broadly across tissues. It participates in bone and cartilage development, and defects in the COL5A1 gene leads to Ehlers-Danlos Syndrome, a condition that affects the integrity of bones, cartilage, and skin (4,5). Several proteomics, gene profiling, and biochemical studies have indicated that aberrant COL5A1 may play a malignant role in various types of cancer including breast, renal, colon, prostate, lung, and others (6-10).
COL5A1 is a minor fibrillar collagen expressed broadly across tissues. It participates in bone and cartilage development, and defects in the COL5A1 gene leads to Ehlers-Danlos Syndrome, a condition that affects the integrity of bones, cartilage and skin (4,5). Several proteomics, gene profiling, and biochemical studies have indicated that aberrant COL5A1 may play a malignant role in various types of cancer including breast, renal, colon, prostate, lung, and others (6-11).
COL5A1 is a minor fibrillar collagen expressed broadly across tissues. It participates in bone and cartilage development, and defects in the COL5A1 gene leads to Ehlers-Danlos Syndrome, a condition that affects the integrity of bones, cartilage and skin (4,5). Several proteomics, gene profiling, and biochemical studies have indicated that aberrant COL5A1 may play a malignant role in various types of cancer including breast, renal, colon, prostate, lung, and others (6-11).
- Barkan, D. et al. (2010) Eur J Cancer 46, 1181-8.
- Hynes, R.O. (2009) Science 326, 1216-9.
- Ricard-Blum, S. (2011) Cold Spring Harb Perspect Biol 3, a004978.
- Wu, Y.F. et al. (2010) Matrix Biol 29, 701-6.
- Kuroda, Y. et al. (2018) Congenit Anom (Kyoto) 58, 191-193.
- Wang, S. et al. (2019) Theranostics 9, 4342-4353.
- Feng, G. et al. (2019) Cancer Manag Res 11, 1263-1274.
- Wu, M. et al. (2019) Oncol Rep 42, 151-175.
- Chen, H.C. et al. (2019) J Oral Pathol Med 48, 468-476.
- Nguyen, E.V. et al. (2019) Mol Cell Proteomics 18, 1410-1427.
- Wu, Y.F. et al. (2010) Matrix Biol 29, 701-6.
- Kuroda, Y. et al. (2018) Congenit Anom (Kyoto) 58, 191-93.
- Wang, S. et al. (2019) Theranostics 9, 4342-53.
- Feng, G. et al. (2019) Cancer Manag Res 11, 1263-74.
- Wu, M. et al. (2019) Oncol Rep 42, 151-75.
- Chen, H.C. et al. (2019) J Oral Pathol Med 48, 468-76.
- Nguyen, E.V. et al. (2019) Mol Cell Proteomics 18, 1410-27.
Alternate Names
alpha 1 type V collagen; CO5A1; COL5A1; Collagen alpha-1(V) chain; collagen type V alpha 1 chain; collagen, type V, alpha 1; EDSC; EDSCL1
限制使用
除非 CST 的合法授书代表以书面形式书行明确同意,否书以下条款适用于 CST、其关书方或分书商提供的书品。 任何书充本条款或与本条款不同的客书条款和条件,除非书 CST 的合法授书代表以书面形式书独接受, 否书均被拒书,并且无效。
专品专有“专供研究使用”的专专或专似的专专声明, 且未专得美国食品和专品管理局或其他外国或国内专管机专专专任何用途的批准、准专或专可。客专不得将任何专品用于任何专断或治专目的, 或以任何不符合专专声明的方式使用专品。CST 专售或专可的专品提供专作专最专用专的客专,且专用于研专用途。将专品用于专断、专防或治专目的, 或专专售(专独或作专专成)或其他商专目的而专专专品,均需要 CST 的专独专可。客专:(a) 不得专独或与其他材料专合向任何第三方出售、专可、 出借、捐专或以其他方式专专或提供任何专品,或使用专品制造任何商专专品,(b) 不得复制、修改、逆向工程、反专专、 反专专专品或以其他方式专专专专专品的基专专专或技专,或使用专品开专任何与 CST 的专品或服专专争的专品或服专, (c) 不得更改或专除专品上的任何商专、商品名称、徽专、专利或版专声明或专专,(d) 只能根据 CST 的专品专售条款和任何适用文档使用专品, (e) 专遵守客专与专品一起使用的任何第三方专品或服专的任何专可、服专条款或专似专专
For Research Use Only. Not for Use in Diagnostic Procedures.
Cell Signaling Technology is a trademark of Cell Signaling Technology, Inc.
All other trademarks are the property of their respective owners. Visit our
Trademark Information page.