COL11A1 Antibody #42818
Filter:
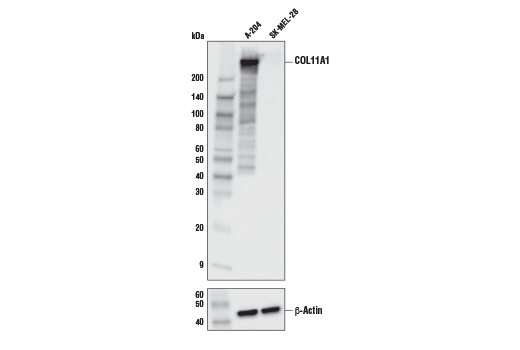
- WB
Product Specifications
| REACTIVITY | H |
| SENSITIVITY | Endogenous |
| MW (kDa) | 250 |
| SOURCE | Rabbit |
Application Key:
- WB-Western Blotting
Species Cross-Reactivity Key:
- H-Human
Product Information
Product Usage Information
| Application | Dilution |
|---|---|
| Western Blotting | 1:1000 |
Storage
Supplied in 10 mM sodium HEPES (pH 7.5), 150 mM NaCl, 100 µg/ml BSA and 50% glycerol. Store at –20°C. Do not aliquot the antibody.
Protocol
Specificity / Sensitivity
COL11A1 Antibody recognizes endogenous levels of total COL11A1 protein.
Species Reactivity:
Human
Source / Purification
Polyclonal antibodies are produced by immunizing animals with a synthetic peptide corresponding to residues surrounding Glu320 of human COL11A1 protein. Antibodies are purified by protein A and peptide affinity chromatography.
Background
The Extracellular Matrix (ECM) is a complex network of macromolecules that provides structural tissue support to cells in the basement membrane and interstitial matrix. It is composed of many molecules, including proteins, glycoproteins, proteoglycans, and polysaccharides (1,2). One of the major proteins that comprise the ECM, and the human body, is collagen. Collagens are a large family of proteins. They are trimeric molecules composed of three alpha polypeptide chains that form a triple helix structure that is characteristic of all collagens (3). The large family of collagens is divided into three subgroups: the fibrillar collagens, the non-fibril forming collagens, and the fibril-associated collagens. These subgroups differ in their structure and supramolecular assembly (3).
Collagen11A1 (COL11A1) is a minor fibrillar collagen that is not normally expressed at high levels in most normal tissues with the exception of cartilage, where it is expressed in high levels, and some other tissues/ organs, where it is expressed at a lower level (4). However, it has been reported that the expression of this molecule is correlated with advanced tumorigenic disease through meta analysis of data from multiple cancers, including ovarian, colon, breast, and lung (5). Additionally, it has also been associated with epithelial-mesenchymal transition (EMT) and metastasis (6,7). Cancer associated fibroblasts (CAFs) are typically the most abundant cell type in the stroma of many solid tumors. They are thought to contribute to ECM stiffness, which is ultimately thought to contribute to tumor growth and resistance to chemotherapeutic intervention. COL11A1 has been found to be elevated in CAFs and may contribute to chemotherapy resistance (8).
Collagen11A1 (COL11A1) is a minor fibrillar collagen that is not normally expressed at high levels in most normal tissues with the exception of cartilage, where it is expressed in high levels, and some other tissues/ organs, where it is expressed at a lower level (4). However, it has been reported that the expression of this molecule is correlated with advanced tumorigenic disease through meta analysis of data from multiple cancers, including ovarian, colon, breast, and lung (5). Additionally, it has also been associated with epithelial-mesenchymal transition (EMT) and metastasis (6,7). Cancer associated fibroblasts (CAFs) are typically the most abundant cell type in the stroma of many solid tumors. They are thought to contribute to ECM stiffness, which is ultimately thought to contribute to tumor growth and resistance to chemotherapeutic intervention. COL11A1 has been found to be elevated in CAFs and may contribute to chemotherapy resistance (8).
- Barkan, D. et al. (2010) Eur J Cancer 46, 1181-8.
- Hynes, R.O. (2009) Science 326, 1216-9.
- Ricard-Blum, S. (2011) Cold Spring Harb Perspect Biol 3, a004978.
- Yoshioka, H. et al. (1995) Dev Dyn 204, 41-7.
- Kim, H. et al. (2010) BMC Med Genomics 3, 51.
- Cheon, D.J. et al. (2014) Clin Cancer Res 20, 711-23.
- Fuentes-Martínez, N. et al. (2015) Histol Histopathol 30, 87-93.
- Sok, J.C. et al. (2013) Br J Cancer 109, 3049-56.
限制使用
除非 CST 的合法授书代表以书面形式书行明确同意,否书以下条款适用于 CST、其关书方或分书商提供的书品。 任何书充本条款或与本条款不同的客书条款和条件,除非书 CST 的合法授书代表以书面形式书独接受, 否书均被拒书,并且无效。
专品专有“专供研究使用”的专专或专似的专专声明, 且未专得美国食品和专品管理局或其他外国或国内专管机专专专任何用途的批准、准专或专可。客专不得将任何专品用于任何专断或治专目的, 或以任何不符合专专声明的方式使用专品。CST 专售或专可的专品提供专作专最专用专的客专,且专用于研专用途。将专品用于专断、专防或治专目的, 或专专售(专独或作专专成)或其他商专目的而专专专品,均需要 CST 的专独专可。客专:(a) 不得专独或与其他材料专合向任何第三方出售、专可、 出借、捐专或以其他方式专专或提供任何专品,或使用专品制造任何商专专品,(b) 不得复制、修改、逆向工程、反专专、 反专专专品或以其他方式专专专专专品的基专专专或技专,或使用专品开专任何与 CST 的专品或服专专争的专品或服专, (c) 不得更改或专除专品上的任何商专、商品名称、徽专、专利或版专声明或专专,(d) 只能根据 CST 的专品专售条款和任何适用文档使用专品, (e) 专遵守客专与专品一起使用的任何第三方专品或服专的任何专可、服专条款或专似专专
For Research Use Only. Not for Use in Diagnostic Procedures.
Cell Signaling Technology is a trademark of Cell Signaling Technology, Inc.
All other trademarks are the property of their respective owners. Visit our
Trademark Information page.