Cell Signaling Technology Logo - Extra Large
Trial Size Available Flag
Recombinant Flag
Recombinant: Superior lot-to-lot consistency, continuous supply, and animal-free manufacturing.

Cofilin (D3F9) Rabbit Monoclonal Antibody #5175

Filter:
  • WB
  • IF

    Product Specifications

    REACTIVITY H M R Mk Dg
    SENSITIVITY Endogenous
    MW (kDa) 19
    Source/Isotype Rabbit IgG
    Application Key:
    • WB-Western Blotting 
    • IF-Immunofluorescence 
    Species Cross-Reactivity Key:
    • H-Human 
    • M-Mouse 
    • R-Rat 
    • Mk-Monkey 
    • Dg-Dog 

    Product Information

    Product Usage Information

    Application Dilution
    Western Blotting 1:1000
    Simple Western™ 1:10 - 1:50
    Immunofluorescence (Immunocytochemistry) 1:200 - 1:800

    Storage

    Supplied in 10 mM sodium HEPES (pH 7.5), 150 mM NaCl, 100 µg/ml BSA, 50% glycerol and less than 0.02% sodium azide. Store at –20°C. Do not aliquot the antibody.

    Protocol

    Specificity / Sensitivity

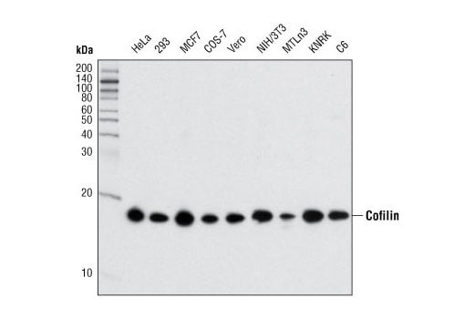
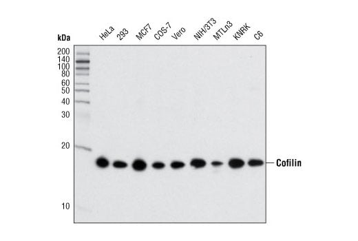
    Cofilin (D3F9) Rabbit Monoclonal Antibody detects endogenous levels of total cofilin1 protein.

    Species Reactivity:

    Human, Mouse, Rat, Monkey, Dog

    Source / Purification

    Monoclonal antibody is produced by immunizing animals with a synthetic peptide corresponding to central residues of human cofilin1 protein.

    Background

    Cofilin and actin-depolymerization factor (ADF) are members of a family of essential conserved small actin-binding proteins that play pivotal roles in cytokinesis, endocytosis, embryonic development, stress response, and tissue regeneration (1). In response to stimuli, cofilin promotes the regeneration of actin filaments by severing preexisting filaments (2). The severing activity of cofilin is inhibited by LIMK or TESK phosphorylation at Ser3 of cofilin (3-5). Phosphorylation at Ser3 also regulates cofilin translocation from the nucleus to the cytoplasm (6).

    Alternate Names

    18 kDa phosphoprotein; CFL; CFL1; COF1; cofilin; cofilin 1; cofilin 1 (non-muscle); Cofilin-1; Cofilin, non-muscle isoform; epididymis secretory protein Li 15; HEL-S-15; p18

    For Research Use Only. Not for Use in Diagnostic Procedures.
    Cell Signaling Technology is a trademark of Cell Signaling Technology, Inc.
    All other trademarks are the property of their respective owners. Visit our Trademark Information page.