Render Target: STATIC
Render Timestamp:
5/28/2026, 7:53:01 PM EDT
5/28/2026, 11:53:01 PM UTC
Commit: 7ed46ecc04b401f23a28df741b5078df405d23e4
XML generation date: 2025-11-12 16:18:15.673
Product last modified at: 2026-03-20T08:01:56.222Z
Cell Signaling Technology Logo - Extra Large
1% for the planet logo
PDP - Template Name: Monoclonal Antibody
PDP - Template ID: *******c5e4b77
Trial Size Available Flag
Recombinant Flag
Recombinant: Superior lot-to-lot consistency, continuous supply, and animal-free manufacturing.

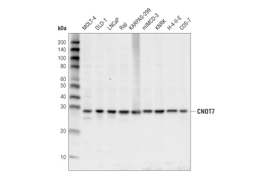
CNOT7 (D3M6O) Rabbit Monoclonal Antibody #86665

Filter:
  • WB

    Product Specifications

    REACTIVITY H M R Mk
    SENSITIVITY Endogenous
    MW (kDa) 29
    Source/Isotype Rabbit IgG
    Application Key:
    • WB-Western Blotting 
    Species Cross-Reactivity Key:
    • H-Human 
    • M-Mouse 
    • R-Rat 
    • Mk-Monkey 

    Product Information

    Product Usage Information

    Application Dilution
    Western Blotting 1:1000

    Storage

    Supplied in 10 mM sodium HEPES (pH 7.5), 150 mM NaCl, 100 µg/ml BSA, 50% glycerol and less than 0.02% sodium azide. Store at –20°C. Do not aliquot the antibody.

    实验步骤

    Specificity / Sensitivity

    CNOT7 (D3M6O) Rabbit Monoclonal Antibody recognizes endogenous levels of total CNOT7 protein.

    Species Reactivity:

    Human, Mouse, Rat, Monkey

    Source / Purification

    Monoclonal antibody is produced by immunizing animals with a synthetic peptide corresponding to residues surrounding Val30 of human CNOT7 protein.

    Background

    The evolutionarily conserved CCR4-NOT (CNOT) complex regulates mRNA metabolism in eukaryotic cells (1). This regulation occurs at different levels of mRNA synthesis and degradation, including transcription initiation, elongation, deadenylation, and degradation (1). Multiple components, including CNOT1, CNOT2, CNOT3, CNOT4, CNOT6, CNOT6L, CNOT7, CNOT8, CNOT9, and CNOT10 have been identified in this complex (2). In addition, subunit composition of this complex has been shown to vary among different tissues (3).

    Alternate Names

    BTG1 binding factor 1; BTG1-binding factor 1; CAF-1; CAF1; Caf1a; carbon catabolite repressor protein (CCR4)-associative factor 1; CCR4-associated factor 1; CCR4-NOT transcription complex subunit 7; CCR4-NOT transcription complex, subunit 7; CNOT7; hCAF-1

    For Research Use Only. Not for Use in Diagnostic Procedures.
    Cell Signaling Technology is a trademark of Cell Signaling Technology, Inc.
    All other trademarks are the property of their respective owners. Visit our Trademark Information page.