Cell Signaling Technology Logo - Extra Large
Trial Size Available Flag
Recombinant Flag
Recombinant: Superior lot-to-lot consistency, continuous supply, and animal-free manufacturing.

CNOT6 (E1L8F) Rabbit Monoclonal Antibody #13415

Filter:
  • WB

    Product Specifications

    REACTIVITY H
    SENSITIVITY Endogenous
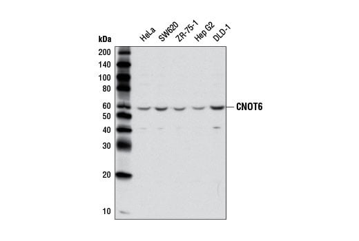
    MW (kDa) 60
    Source/Isotype Rabbit IgG
    Application Key:
    • WB-Western Blotting 
    Species Cross-Reactivity Key:
    • H-Human 

    Product Information

    Product Usage Information

    Application Dilution
    Western Blotting 1:1000

    Storage

    Supplied in 10 mM sodium HEPES (pH 7.5), 150 mM NaCl, 100 µg/ml BSA, 50% glycerol and less than 0.02% sodium azide. Store at –20°C. Do not aliquot the antibody.

    Protocol

    Specificity / Sensitivity

    CNOT6 (E1L8F) Rabbit Monoclonal Antibody recognizes endogenous levels of total CNOT6 protein.

    Species Reactivity:

    Human

    Source / Purification

    Monoclonal antibody is produced by immunizing animals with a synthetic peptide corresponding to residues surrounding Gly400 of human CNOT6 protein.

    Background

    The evolutionarily conserved CCR4-NOT (CNOT) complex regulates mRNA metabolism in eukaryotic cells (1). This regulation occurs at different levels of mRNA synthesis and degradation, including transcription initiation, elongation, deadenylation, and degradation (1). Multiple components, including CNOT1, CNOT2, CNOT3, CNOT4, CNOT6, CNOT6L, CNOT7, CNOT8, CNOT9, and CNOT10 have been identified in this complex (2). In addition, subunit composition of this complex has been shown to vary among different tissues (3).
    The various CNOT proteins display different functions, with CNOT6, CNOT6L, CNOT7 and CNOT8 exhibiting 3'-5' RNAse activity (2,4). Research studies indicate that the CCR4-NOT deadenylase subunits CNOT6 and CNOT6L help mediate cell survival and play a role in cell proliferation, P-body formation, and regulation of gene expression (5). Additional research evidence suggests that CNOT6 can act as a nuclear hormone receptor coactivator that associates with ZNF335 (NIF-1) to regulate expression from specific RARα regulated genes (6).

    Alternate Names

    carbon catabolite repression 4 protein; Carbon catabolite repressor protein 4 homolog; CCR4; CCR4 carbon catabolite repression 4-like; CCR4-NOT transcription complex subunit 6; CCR4-NOT transcription complex, subunit 6; CCR4a; CNOT6; Cytoplasmic deadenylase; KIAA1194

    For Research Use Only. Not for Use in Diagnostic Procedures.
    Cell Signaling Technology is a trademark of Cell Signaling Technology, Inc.
    All other trademarks are the property of their respective owners. Visit our Trademark Information page.