Render Target: STATIC
Render Timestamp:
5/21/2026, 9:23:47 PM EDT
5/22/2026, 1:23:47 AM UTC
Commit: 7ed46ecc04b401f23a28df741b5078df405d23e4
XML generation date: 2025-11-13 17:58:01.490
Product last modified at: 2026-03-20T08:07:34.522Z
Cell Signaling Technology Logo - Extra Large
1% for the planet logo
PDP - Template Name: Polyclonal Antibody
PDP - Template ID: *******59c6464

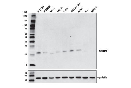
CMTM6 Antibody #34557

Filter:
  • WB

    Product Specifications

    REACTIVITY H M
    SENSITIVITY Endogenous
    MW (kDa) 22
    SOURCE Rabbit
    Application Key:
    • WB-Western Blotting 
    Species Cross-Reactivity Key:
    • H-Human 
    • M-Mouse 

    Product Information

    Product Usage Information

    Application Dilution
    Western Blotting 1:1000

    Storage

    Supplied in 10 mM sodium HEPES (pH 7.5), 150 mM NaCl, 100 µg/ml BSA and 50% glycerol. Store at –20°C. Do not aliquot the antibody.

    实验步骤

    Specificity / Sensitivity

    CMTM6 Antibody recognizes endogenous levels of total CMTM6 protein. This antibody does not cross-react with CMTM4 protein.

    Species Reactivity:

    Human, Mouse

    Source / Purification

    Polyclonal antibodies are produced by immunizing animals with a synthetic peptide corresponding to residues surrounding Ala176 of human CMTM6 protein. Antibodies are purified by protein A and peptide affinity chromatography.

    Background

    CKLF-like MARVEL transmembrane domain-containing protein 6 (CMTM6) is a member of the chemokine-like factor (CKLF)-like MARVEL transmembrane domain-containing family (1). CMTM6 stabilizes plasma membrane expression of PD-L1, an immune inhibitory ligand critical for immune tolerance to self and anti-tumor immunity (2,3). CMTM6 associates with PD-L1 at recycling endosomes, where it protects PD-L1 from being targeted for lysosomal degradation by preventing STUB1-mediated PD-L1 ubiquitination (2,3). CMTM6 may stabilize PD-L1 expression on antigen presenting cells and potentiate inhibitory signaling by PD-1 on T cells, triggering T cell inhibition and exhaustion. CMTM6 has also been shown to interact with CD58, ARG1, ENO1, and TMPO (2). Due to the role of CMTM6 in regulating the immune system, it is being investigated as an immunotherapeutic target for the treatment of cancer.

    Alternate Names

    chemokine-like factor super family 6; chemokine-like factor superfamily 6; Chemokine-like factor superfamily member 6; CKLF like MARVEL transmembrane domain containing 6; CKLF-like MARVEL transmembrane domain containing 6; CKLF-like MARVEL transmembrane domain-containing protein 6; CKLF6; CKLFSF6; CMTM6; FLJ20396; PRO2219

    For Research Use Only. Not for Use in Diagnostic Procedures.
    Cell Signaling Technology is a trademark of Cell Signaling Technology, Inc.
    All other trademarks are the property of their respective owners. Visit our Trademark Information page.