Cell Signaling Technology Logo - Extra Large
Trial Size Available Flag
Recombinant Flag
Recombinant: Superior lot-to-lot consistency, continuous supply, and animal-free manufacturing.

Clusterin (D4B6P) Rabbit Monoclonal Antibody #42143

Filter:
  • WB
  • IP

    Product Specifications

    REACTIVITY H
    SENSITIVITY Endogenous
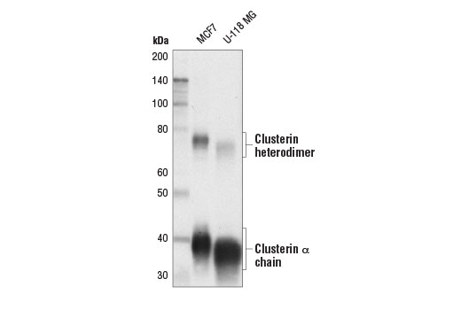
    MW (kDa) 32-42, 65, 75
    Source/Isotype Rabbit IgG
    Application Key:
    • WB-Western Blotting 
    • IP-Immunoprecipitation 
    Species Cross-Reactivity Key:
    • H-Human 

    Product Information

    Product Usage Information

    Application Dilution
    Western Blotting 1:1000
    Immunoprecipitation 1:50

    Storage

    Supplied in 10 mM sodium HEPES (pH 7.5), 150 mM NaCl, 100 µg/ml BSA, 50% glycerol and less than 0.02% sodium azide. Store at –20°C. Do not aliquot the antibody.

    实验步骤

    Specificity / Sensitivity

    Clusterin (D4B6P) Rabbit Monoclonal Antibody recognizes endogenous levels of total clusterin precursor protein, mature clusterin α chain, and clusterin heterodimer protein.

    Species Reactivity:

    Human

    Source / Purification

    Monoclonal antibody is produced by immunizing animals with a synthetic peptide corresponding to residues surrounding His392 of human clusterin protein.

    Background

    Clusterin (CLU, apolipoprotein J) is a multifunctional glycoprotein that is expressed ubiquitously in most tissues. Clusterin functions as a secreted chaperone protein that interacts with and stabilizes stress-induced proteins to prevent their precipitation (1,2). Research studies show that clusterin plays a protective role in Alzheimer’s disease by sequestering amyloid β(1-40) peptides to form long-lived, stable complexes, which prevents amyloid fibril formation (3-5). In addition to the secreted protein, several intracellular isoforms are localized to the nucleus, mitochondria, cytoplasm, and ER. The subcellular distribution of these multiple isoforms leads to the diversity of clusterin functions. Additional studies report that clusterin is involved in membrane recycling, cell adhesion, cell proliferation, apoptosis, and tumor survival (6-9). The clusterin precursor is post-translationally cleaved into the mature clusterin α and clusterin β forms. Clusterin α and β chains create a heterodimer through formation of disulfide bonds (10).

    Alternate Names

    AAG4; Aging-associated gene 4 protein; aging-associated protein 4; Apo-J; APOJ; ApoJalpha; ApoJbeta; Apolipoprotein J; CLI; CLU; CLU1; CLU2; CLUS; Clusterin; Clusterin alpha chain; Clusterin beta chain; Complement cytolysis inhibitor; Complement cytolysis inhibitor a chain; Complement cytolysis inhibitor b chain; complement lysis inhibitor; Complement-associated protein SP-40,40; epididymis secretory sperm binding protein; Ku70-binding protein 1; KUB1; MGC24903; NA1/NA2; SGP-2; SGP2; SP-40; sulfated glycoprotein 2; Testosterone-repressed prostate message 2; TRPM-2; TRPM2

    For Research Use Only. Not for Use in Diagnostic Procedures.
    Cell Signaling Technology is a trademark of Cell Signaling Technology, Inc.
    All other trademarks are the property of their respective owners. Visit our Trademark Information page.