Cell Signaling Technology Logo - Extra Large

Cleaved PARP (Asp214) Antibody #9544

Filter:
  • WB

    Product Specifications

    REACTIVITY H M
    SENSITIVITY Endogenous
    MW (kDa) 89
    SOURCE Rabbit
    Application Key:
    • WB-Western Blotting 
    Species Cross-Reactivity Key:
    • H-Human 
    • M-Mouse 

    Product Information

    Product Usage Information

    Application Dilution
    Western Blotting 1:1000

    Storage

    Supplied in 10 mM sodium HEPES (pH 7.5), 150 mM NaCl, 100 µg/ml BSA and 50% glycerol. Store at –20°C. Do not aliquot the antibody.

    实验步骤

    Specificity / Sensitivity

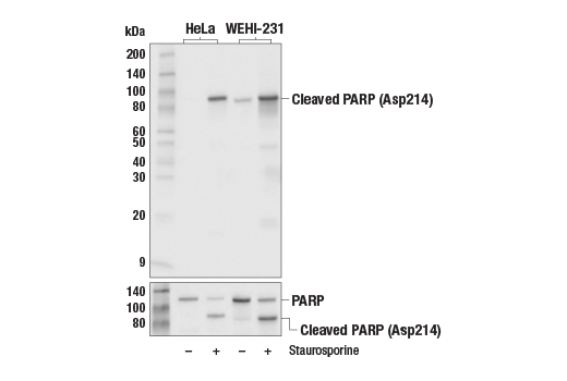
    Cleaved PARP (Asp214) Antibody detects endogenous levels of the large fragment (89 kDa) of PARP1 resulting from caspase cleavage. This antibody does not recognize full length PARP1 or other PARP isoforms.

    Species Reactivity:

    Human, Mouse

    Source / Purification

    Polyclonal antibodies are produced by immunizing animals with a synthetic peptide corresponding to carboxy-terminal residues surrounding Asp214 in mouse PARP. Antibodies are purified by protein A and peptide affinity chromatography.

    Background

    PARP, a 116 kDa nuclear poly (ADP-ribose) polymerase, appears to be involved in DNA repair in response to environmental stress (1). This protein can be cleaved by many ICE-like caspases in vitro (2,3) and is one of the main cleavage targets of caspase-3 in vivo (4,5). In human PARP, the cleavage occurs between Asp214 and Gly215, which separates the PARP amino-terminal DNA-binding domain (24 kDa) from the carboxy-terminal catalytic domain (89 kDa) (2,4). PARP helps cells to maintain their viability; cleavage of PARP facilitates cellular disassembly and serves as a marker of cells undergoing apoptosis (6).

    (This product is sold under license from Promega Corp., U.S. Patent No. 6,350,452.)

    Alternate Names

    5830444G22Rik; Adp; ADP-ribosyltransferase (NAD+, poly (ADP-ribose) polymerase) 1; ADP-ribosyltransferase diphtheria toxin-like 1; Adprp; Adprt; ADPRT 1; Adprt1; AI893648; ARTD1; C80510; DNA ADP-ribosyltransferase PARP1; msPARP; NAD(+) ADP-ribosyltransferase 1; PARP; PARP-1; Parp1; poly (ADP-ribose) polymerase 1; poly (ADP-ribose) polymerase family, member 1; Poly [ADP-ribose] polymerase 1; poly(ADP-ribose) polymerase; Poly[ADP-ribose] synthase 1; poly[ADP-ribose] synthetase 1; PPOL; Protein poly-ADP-ribosyltransferase PARP1; sPARP-1

    For Research Use Only. Not for Use in Diagnostic Procedures.
    Cell Signaling Technology is a trademark of Cell Signaling Technology, Inc.
    All other trademarks are the property of their respective owners. Visit our Trademark Information page.