Cell Signaling Technology Logo - Extra Large
Trial Size Available Flag
Recombinant Flag
Recombinant: Superior lot-to-lot consistency, continuous supply, and animal-free manufacturing.

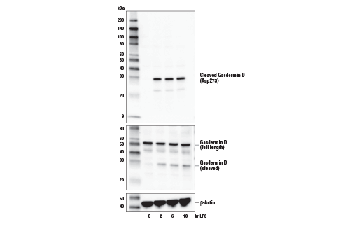
Cleaved Gasdermin D (Asp275) (E7H9G) Rabbit Monoclonal Antibody #36425

Filter:
  • WB
  • IP
  • IHC

    Product Specifications

    REACTIVITY H
    SENSITIVITY Endogenous
    MW (kDa) 30
    Source/Isotype Rabbit IgG
    Application Key:
    • WB-Western Blotting 
    • IP-Immunoprecipitation 
    • IHC-Immunohistochemistry 
    Species Cross-Reactivity Key:
    • H-Human 

    Product Information

    Product Usage Information

    Application Dilution
    Western Blotting 1:1000
    Immunoprecipitation 1:50
    Immunohistochemistry (Paraffin) 1:500 - 1:2000

    Storage

    Supplied in 10 mM sodium HEPES (pH 7.5), 150 mM NaCl, 100 µg/ml BSA, 50% glycerol and less than 0.02% sodium azide. Store at –20°C. Do not aliquot the antibody.

    For a carrier-free (BSA and azide free) version of this product see product #37349.

    Protocol

    Specificity / Sensitivity

    Cleaved Gasdermin D (Asp275) (E7H9G) Rabbit Monoclonal Antibody recognizes endogenous levels of the amino fragment of human gasdermin D protein only when cleaved at Asp275.

    Species Reactivity:

    Human

    Source / Purification

    Monoclonal antibody is produced by immunizing animals with a synthetic peptide corresponding to residues surrounding Asp275 of human Gasdermin D protein.

    Background

    Gasdermin D (GSDMD), a member of the gasdermin family that includes GSDMA, GSDMB, and GSDMC, has been reported to have a critical role as a downstream effector of pyroptosis (1,2). Pyroptosis is a lytic type of cell death triggered by inflammasomes, multiprotein complexes assembled in response to pathogen-associated molecular patterns (PAMPs) or danger-associated molecular patterns (DAMPs) that result in the activation of caspase-1 and subsequent cleavage of pro-inflammatory cytokines IL-1β and IL-18 (3). Gasdermin D was identified by two independent groups as a substrate of inflammatory caspases, caspase-1 and caspase-11/4/5, producing two fragments: GSDMD-N and GSDMD-C. Cleavage results in release of an intramolecular inhibitory interaction between the N- and C-terminal domains, allowing the N-terminal fragment GSDMD-N to initiate pyroptosis through the formation of pores on the plasma membrane (4-7).

    Alternate Names

    DF5L; DFNA5L; FKSG10; FLJ12150; gasdermin D; gasdermin domain containing 1; Gasdermin domain-containing protein 1; Gasdermin-D; Gasdermin-D, C-terminal; Gasdermin-D, N-terminal; GSDMD; GSDMD-CT; GSDMD-NT; GSDMDC1

    For Research Use Only. Not for Use in Diagnostic Procedures.
    Cell Signaling Technology is a trademark of Cell Signaling Technology, Inc.
    SignalStain is a registered trademark of Cell Signaling Technology, Inc.
    All other trademarks are the property of their respective owners. Visit our Trademark Information page.