Cell Signaling Technology Logo - Extra Large
Trial Size Available Flag
Recombinant Flag
Recombinant: Superior lot-to-lot consistency, continuous supply, and animal-free manufacturing.

Cleaved Caspase-9 (Asp330) (D2D4) Rabbit Monoclonal Antibody #7237

Filter:
  • WB
  • IP

    Product Specifications

    REACTIVITY H
    SENSITIVITY Endogenous
    MW (kDa) 37
    Source/Isotype Rabbit IgG
    Application Key:
    • WB-Western Blotting 
    • IP-Immunoprecipitation 
    Species Cross-Reactivity Key:
    • H-Human 

    Product Information

    Product Usage Information

    Application Dilution
    Western Blotting 1:1000
    Immunoprecipitation 1:100

    Storage

    Supplied in 10 mM sodium HEPES (pH 7.5), 150 mM NaCl, 100 µg/ml BSA, 50% glycerol and less than 0.02% sodium azide. Store at –20°C. Do not aliquot the antibody.

    实验步骤

    Specificity / Sensitivity

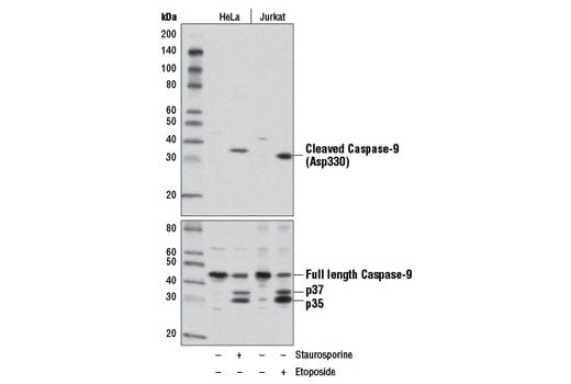
    Cleaved Caspase-9 (Asp330) (D2D4) Rabbit Monoclonal Antibody recognizes endogenous levels of caspase-9 protein only when cleaved at Asp330. Full-length caspase-9 may be weakly detected with some cell lines.

    Species Reactivity:

    Human

    The antigen sequence used to produce this antibody shares 100% sequence homology with the species listed here, but reactivity has not been tested or confirmed to work by CST. Use of this product with these species is not covered under our Product Performance Guarantee.

    Species predicted to react based on 100% sequence homology:

    Monkey

    Source / Purification

    Monoclonal antibody is produced by immunizing animals with a synthetic peptide corresponding to residues surrounding Asp330 of human caspase-9 protein.

    Background

    Caspase-9 (ICE-LAP6, Mch6) is an important member of the cysteine aspartic acid protease (caspase) family (1,2). Upon apoptotic stimulation, cytochrome c released from mitochondria associates with the 47 kDa procaspase-9/Apaf-1. Apaf-1 mediated activation of caspase-9 involves intrinsic proteolytic processing, resulting in cleavage at Asp315 and producing a p35 subunit. Another cleavage occurs at Asp330, producing a p37 subunit that can serve to amplify the apoptotic response (3-6). Cleaved caspase-9 further processes other caspase members, including caspase-3 and caspase-7, to initiate a caspase cascade, which leads to apoptosis (7-10).

    Alternate Names

    APAF-3; APAF3; apoptotic protease activating factor 3; Apoptotic protease Mch-6; Apoptotic protease-activating factor 3; CASP-9; CASP9; caspase 9; caspase 9, apoptosis-related cysteine peptidase; caspase 9, apoptosis-related cysteine protease; Caspase-9; Caspase-9 subunit p10; Caspase-9 subunit p35; CASPASE-9c; ICE-LAP6; ICE-like apoptotic protease 6; MCH6; PPP1R56; protein phosphatase 1, regulatory subunit 56

    For Research Use Only. Not for Use in Diagnostic Procedures.
    Cell Signaling Technology is a trademark of Cell Signaling Technology, Inc.
    All other trademarks are the property of their respective owners. Visit our Trademark Information page.