Cell Signaling Technology Logo - Extra Large
Trial Size Available Flag
Recombinant Flag
Recombinant: Superior lot-to-lot consistency, continuous supply, and animal-free manufacturing.

Cleaved Caspase-8 (Asp374) (18C8) Rabbit Monoclonal Antibody #9496

Filter:
  • WB

    Product Specifications

    REACTIVITY H
    SENSITIVITY Endogenous
    MW (kDa) 18, 41, 43
    Source/Isotype Rabbit IgG
    Application Key:
    • WB-Western Blotting 
    Species Cross-Reactivity Key:
    • H-Human 

    Product Information

    Product Usage Information

    Application Dilution
    Western Blotting 1:1000

    Storage

    Supplied in 10 mM sodium HEPES (pH 7.5), 150 mM NaCl, 100 µg/ml BSA, 50% glycerol and less than 0.02% sodium azide. Store at –20°C. Do not aliquot the antibody.

    实验步骤

    Specificity / Sensitivity

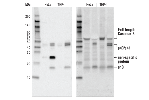
    Cleaved Caspase-8 (Asp374) (18C8) Rabbit Monoclonal Antibody detects human Caspase-8 when cleaved at Asp374. This antibody will detect cleavage products containing the pro-domain with the p18 subunit as well as the p18 subunit alone. A band of unknown origin is detected at 25 kDa in some cell lines.

    Species Reactivity:

    Human

    Source / Purification

    Monoclonal antibody is produced by immunizing animals with a synthetic peptide corresponding to residues adjacent to Asp374 of human Caspase-8.

    Background

    Apoptosis induced through the CD95 receptor (Fas/APO-1) and tumor necrosis factor receptor 1 (TNFR1) activates caspase-8 and leads to the release of the caspase-8 active fragments, p18 and p10 (1-3). Activated caspase-8 cleaves and activates downstream effector caspases such as caspase-1, -3, -6, and -7. Caspase-3 ultimately elicits the morphological hallmarks of apoptosis, including DNA fragmentation and cell shrinkage.

    Alternate Names

    ALPS2B; Apoptotic cysteine protease; Apoptotic protease Mch-5; CAP4; CASP-8; CASP8; caspase 8; caspase 8, apoptosis-related cysteine peptidase; caspase 8, apoptosis-related cysteine protease; Caspase-8; Caspase-8 subunit p10; Caspase-8 subunit p18; caspase8; FADD-homologous ICE/ced-3-like protease; FADD-like ICE; FLICE; FLJ17672; ICE-like apoptotic protease 5; MACH; MACH-alpha-1/2/3 protein; MACH-beta-1/2/3/4 protein; MCH5; MGC78473; MORT1-associated ced-3 homolog

    For Research Use Only. Not for Use in Diagnostic Procedures.
    Cell Signaling Technology is a trademark of Cell Signaling Technology, Inc.
    All other trademarks are the property of their respective owners. Visit our Trademark Information page.