Cell Signaling Technology Logo - Extra Large
Trial Size Available Flag
Recombinant Flag
Recombinant: Superior lot-to-lot consistency, continuous supply, and animal-free manufacturing.

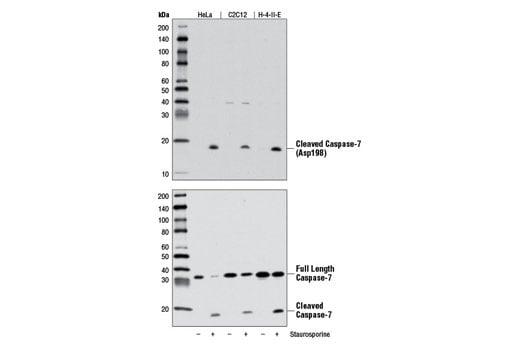
Cleaved Caspase-7 (Asp198) (D6H1) Rabbit Monoclonal Antibody #8438

Filter:
  • WB
  • IF
  • F

    Product Specifications

    REACTIVITY H M R
    SENSITIVITY Endogenous
    MW (kDa) 18
    Source/Isotype Rabbit IgG
    Application Key:
    • WB-Western Blotting 
    • IF-Immunofluorescence 
    • F-Flow Cytometry 
    Species Cross-Reactivity Key:
    • H-Human 
    • M-Mouse 
    • R-Rat 

    Product Information

    Product Usage Information

    Application Dilution
    Western Blotting 1:1000
    Immunofluorescence (Immunocytochemistry) 1:1600
    Flow Cytometry (Fixed/Permeabilized) 1:1600

    Storage

    Supplied in 10 mM sodium HEPES (pH 7.5), 150 mM NaCl, 100 µg/ml BSA, 50% glycerol and less than 0.02% sodium azide. Store at –20°C. Do not aliquot the antibody.

    For a carrier free (BSA and azide free) version of this product see product #43258.

    实验步骤

    Specificity / Sensitivity

    Cleaved Caspase-7 (Asp198) (D6H1) Rabbit mAb recognizes endogenous levels of caspase-7 protein only when cleaved at Asp198.

    Species Reactivity:

    Human, Mouse, Rat

    Source / Purification

    Monoclonal antibody is produced by immunizing animals with a synthetic peptide corresponding to residues surrounding Asp198 of human caspase-7 protein.

    Background

    Caspase-7 (CMH-1, Mch3, ICE-LAP3) has been identified as a major contributor to the execution of apoptosis (1-4). Caspase-7, like caspase-3, is an effector caspase that is responsible for cleaving downstream substrates such as (ADP-ribose) polymerase and PARP (1,3). During apoptosis, caspase-7 is activated through proteolytic processing by upstream caspases at Asp23, Asp198, and Asp206 to produce the mature subunits (1,3). Similar to caspase-2 and -3, caspase-7 preferentially cleaves substrates following the recognition sequence DEVD (5).

    Alternate Names

    Apoptotic protease Mch-3; CASP-7; CASP7; caspase 7; caspase 7 isoform delta; caspase 7, apoptosis-related cysteine peptidase; caspase 7, apoptosis-related cysteine protease; Caspase-7; Caspase-7 subunit p11; Caspase-7 subunit p20; caspase7; CMH-1; ICE-LAP3; ICE-like apoptotic protease 3; LICE2; Lice2 alpha/beta/gamma; MCH3

    For Research Use Only. Not for Use in Diagnostic Procedures.
    Cell Signaling Technology is a trademark of Cell Signaling Technology, Inc.
    All other trademarks are the property of their respective owners. Visit our Trademark Information page.