Cell Signaling Technology Logo - Extra Large
Trial Size Available Flag
Recombinant Flag
Recombinant: Superior lot-to-lot consistency, continuous supply, and animal-free manufacturing.

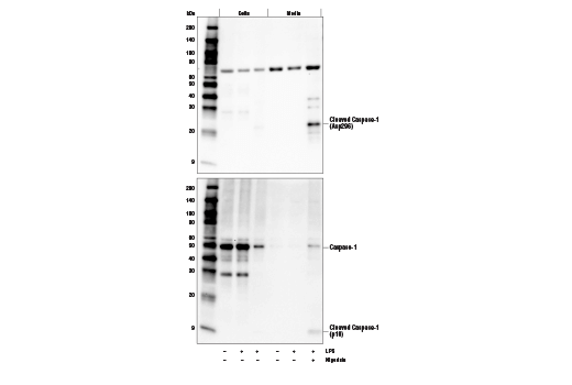
Cleaved Caspase-1 (Asp296) (E2G2I) Rabbit Monoclonal Antibody #89332

Filter:
  • WB
  • IP

    Product Specifications

    REACTIVITY M
    SENSITIVITY Endogenous
    MW (kDa) 22
    Source/Isotype Rabbit IgG
    Application Key:
    • WB-Western Blotting 
    • IP-Immunoprecipitation 
    Species Cross-Reactivity Key:
    • M-Mouse 

    Product Information

    Product Usage Information

    Application Dilution
    Western Blotting 1:1000
    Immunoprecipitation 1:50

    Storage

    Supplied in 10 mM sodium HEPES (pH 7.5), 150 mM NaCl, 100 µg/ml BSA, 50% glycerol and less than 0.02% sodium azide. Store at –20°C. Do not aliquot the antibody.

    Protocol

    Specificity / Sensitivity

    Cleaved Caspase-1 (Asp296) (E2G2I) Rabbit Monoclonal Antibody recognizes endogenous levels of caspase-1 protein only when cleaved at Asp296. A non-specific band is detected at 70 kDa in some cells.

    Species Reactivity:

    Mouse

    The antigen sequence used to produce this antibody shares 100% sequence homology with the species listed here, but reactivity has not been tested or confirmed to work by CST. Use of this product with these species is not covered under our Product Performance Guarantee.

    Species predicted to react based on 100% sequence homology:

    Rat

    Source / Purification

    Monoclonal antibody is produced by immunizing animals with a synthetic peptide corresponding to residues surrounding Asp296 of mouse caspase-1 protein.

    Background

    Caspase-1, or interleukin-1ß converting enzyme (ICE/ICEα), is a class I cysteine protease, which also includes caspases -4, -5, -11, and -12. Caspase-1 cleaves inflammatory cytokines such as pro-IL-1ß and interferon-γ inducing factor (IL-18) into their mature forms (1,2). Like other caspases, caspase-1 is proteolytically activated from a proenzyme to produce a tetramer of its two active subunits, p20 and p10. Caspase-1 has a large amino-terminal pro-domain that contains a caspase recruitment domain (CARD). Overexpression of caspase-1 can induce apoptosis (3). Mice deficient in caspase-1, however, have no overt defects in apoptosis but do have defects in the maturation of pro-IL-1β and are resistant to endotoxic shock (4,5). At least six caspase-1 isoforms have been identified, including caspase-1 α, β, γ, δ, ε, and ζ (6). Most caspase-1 isoforms (α, β, γ, and δ) produce products between 30-48 kDa and induce apoptosis upon overexpression. Caspase-1 ε typically contains only the p10 subunit, does not induce apoptosis, and may act as a dominant negative. The widely expressed ζ isoform of caspase-1 induces apoptosis and lacks 39 amino-terminal residues found in the α isoform (6). Activation of caspase-1 occurs through an oligomerization molecular platform designated the "inflammasome" that includes caspase-5, Pycard/Asc, and NALP1 (7).

    Alternate Names

    Casp; CASP-1; Casp1; caspase 1; Caspase-1; Caspase-1 subunit p10; Caspase-1 subunit p20; Caspase1; ICE; IL-1 beta-converting enzyme; IL-1B converting enzyme; IL-1BC; Il1; Il1bc; interleukin 1 beta-converting enzyme; Interleukin-1 beta convertase; Interleukin-1 beta-converting enzyme; p45

    For Research Use Only. Not for Use in Diagnostic Procedures.
    Cell Signaling Technology is a trademark of Cell Signaling Technology, Inc.
    All other trademarks are the property of their respective owners. Visit our Trademark Information page.