Cell Signaling Technology Logo - Extra Large
Trial Size Available Flag
Recombinant Flag
Recombinant: Superior lot-to-lot consistency, continuous supply, and animal-free manufacturing.

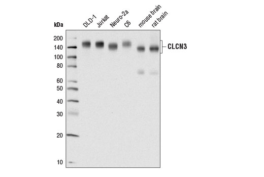
CLCN3 (D8Y5Q) Rabbit Monoclonal Antibody #13359

Filter:
  • WB
  • IP
  • IF

    Product Specifications

    REACTIVITY H M R
    SENSITIVITY Endogenous
    MW (kDa) 130-150
    Source/Isotype Rabbit IgG
    Application Key:
    • WB-Western Blotting 
    • IP-Immunoprecipitation 
    • IF-Immunofluorescence 
    Species Cross-Reactivity Key:
    • H-Human 
    • M-Mouse 
    • R-Rat 

    Product Information

    Product Usage Information

    Application Dilution
    Western Blotting 1:1000
    Immunoprecipitation 1:50
    Immunofluorescence (Frozen) 1:100

    Storage

    Supplied in 10 mM sodium HEPES (pH 7.5), 150 mM NaCl, 100 µg/ml BSA, 50% glycerol and less than 0.02% sodium azide. Store at –20°C. Do not aliquot the antibody.

    实验步骤

    Specificity / Sensitivity

    CLCN3 (D8Y5Q) Rabbit Monoclonal Antibody recognizes endogenous levels of total CLCN3 protein.

    Species Reactivity:

    Human, Mouse, Rat

    Source / Purification

    Monoclonal antibody is produced by immunizing animals with a synthetic peptide corresponding to residues near the amino terminus of human CLCN3 protein.

    Background

    Chloride channel 3 (CLCN3) is a voltage-gated chloride channel (CIC) family protein that mediates H+/Cl- exchange across cell membranes. This 818 amino acid, multi-pass membrane protein is highly expressed in the brain and is especially abundant in the olfactory bulb, hippocampus, and cerebellum (1). CLCN3 protein localizes to endosomal compartments and synaptic vesicles where it contributes to vesicle acidification and proper synaptic vesicle neurotransmitter loading for GABAergic synaptic transmission (2,3). CAMKII-mediated phosphorylation of CLCN3 regulates chloride channel activity by regulating cell surface targeting of the CLCN3 chloride channel (4). Research studies show abnormally high CLCN3 expression at the cell surface of human glioma cells, and that CAMKII-dependent regulation of these channels contributes to glioma invasion (5).

    Alternate Names

    chloride channel 3; Chloride channel protein 3; chloride channel, voltage-sensitive 3; Chloride transporter ClC-3; chloride voltage-gated channel 3; ClC-3; CLC3; CLCN3; H(+)/Cl(-) exchange transporter 3

    For Research Use Only. Not for Use in Diagnostic Procedures.
    Cell Signaling Technology is a trademark of Cell Signaling Technology, Inc.
    All other trademarks are the property of their respective owners. Visit our Trademark Information page.