Cell Signaling Technology Logo - Extra Large
Trial Size Available Flag
Recombinant Flag
Recombinant: Superior lot-to-lot consistency, continuous supply, and animal-free manufacturing.

CHD1 (D8C2) Rabbit Monoclonal Antibody #4351

Filter:
  • WB
  • IP
  • ChIP

    Product Specifications

    REACTIVITY H M R Mk
    SENSITIVITY Endogenous
    MW (kDa) 220
    Source/Isotype Rabbit IgG
    Application Key:
    • WB-Western Blotting 
    • IP-Immunoprecipitation 
    • ChIP-Chromatin Immunoprecipitation 
    Species Cross-Reactivity Key:
    • H-Human 
    • M-Mouse 
    • R-Rat 
    • Mk-Monkey 

    Product Information

    Product Usage Information

    For optimal ChIP results, use 5 μl of antibody and 10 μg of chromatin (approximately 4 x 106 cells) per IP. This antibody has been validated using SimpleChIP® Enzymatic Chromatin IP Kits.
    Application Dilution
    Western Blotting 1:1000
    Immunoprecipitation 1:50
    Chromatin IP 1:100

    Storage

    Supplied in 10 mM sodium HEPES (pH 7.5), 150 mM NaCl, 100 µg/ml BSA, 50% glycerol and less than 0.02% sodium azide. Store at –20°C. Do not aliquot the antibody.

    实验步骤

    Specificity / Sensitivity

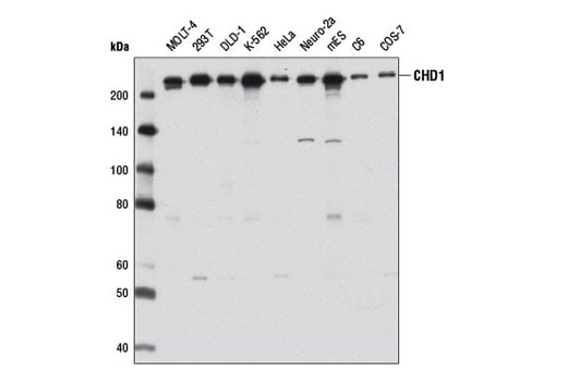
    CHD1 (D8C2) Rabbit Monoclonal Antibody recognizes endogenous levels of total CHD1 protein.

    Species Reactivity:

    Human, Mouse, Rat, Monkey

    The antigen sequence used to produce this antibody shares 100% sequence homology with the species listed here, but reactivity has not been tested or confirmed to work by CST. Use of this product with these species is not covered under our Product Performance Guarantee.

    Species predicted to react based on 100% sequence homology:

    Bovine, Dog, Pig

    Source / Purification

    Monoclonal antibody is produced by immunizing animals with a synthetic peptide corresponding to residues near the carboxy terminus of human CHD1 protein.

    Background

    Chromodomain-helicase-DNA-binding domain (CHD) proteins have been identified in a variety of organisms (1,2). This family of proteins, which consists of nine members, has been divided into three separate subfamilies: subfamily I (CHD1 and CHD2), subfamily II (CHD3 and CHD4), and subfamily III (CHD5, CHD6, CHD7, CHD8, and CHD9). All of the CHD proteins contain two tandem N-terminal chromodomains, a SWI/SNF-related ATPase domain, and a C-terminal DNA binding domain (1,2). The chromodomains facilitate binding to methylated lysine residues of histone proteins and confer interactions with specific regions of chromatin. The SWI/SNF-related ATPase domain utilizes the energy from ATP hydrolysis to modify chromatin structure. CHD1 is a euchromatic protein that associates with the promoters of active genes, and is required for the maintenance of open chromatin and pluripotency in embryonic stem cells (3-6). The two chromodomains of CHD1 facilitate its recruitment to active genes by binding to methyl-lysine 4 of histone H3, a mark associated with transcriptional activation (4-6). Yeast CHD1 is a component of the SAGA and SLIK histone acetyltransferase complexes, and is believed to link histone methylation with histone acetylation during transcriptional activation (6). The CHD2 protein is not well characterized; however, mouse knockout studies suggest important functions in development and tumor suppression. Homozygous CHD2 knockout mice exhibit delayed growth and perinatal lethality (7). Heterozygous knockout mice show increased mortality and gross organ abnormalities, in addition to increased extramedullary hematopoiesis and susceptibility to lymphomas (7,8). CHD2 mutant cells are defective in hematopoietic stem cell differentiation and exhibit aberrant DNA damage responses (8).

    Alternate Names

    ATP-dependent helicase CHD1; CHD-1; CHD1; chromodomain helicase DNA binding protein 1; Chromodomain-helicase-DNA-binding protein 1; DKFZp686E2337; PILBOS

    For Research Use Only. Not for Use in Diagnostic Procedures.
    Cell Signaling Technology is a trademark of Cell Signaling Technology, Inc.
    All other trademarks are the property of their respective owners. Visit our Trademark Information page.