Cell Signaling Technology Logo - Extra Large
Trial Size Available Flag
Recombinant Flag
Recombinant: Superior lot-to-lot consistency, continuous supply, and animal-free manufacturing.

CDK10 (D8Z7Z) Rabbit Monoclonal Antibody #36106

Filter:
  • WB

    Product Specifications

    REACTIVITY H M R
    SENSITIVITY Endogenous
    MW (kDa) 40
    Source/Isotype Rabbit IgG
    Application Key:
    • WB-Western Blotting 
    Species Cross-Reactivity Key:
    • H-Human 
    • M-Mouse 
    • R-Rat 

    Product Information

    Product Usage Information

    Application Dilution
    Western Blotting 1:1000

    Storage

    Supplied in 10 mM sodium HEPES (pH 7.5), 150 mM NaCl, 100 µg/ml BSA, 50% glycerol and less than 0.02% sodium azide. Store at –20°C. Do not aliquot the antibody.

    实验步骤

    Specificity / Sensitivity

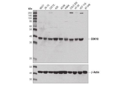
    CDK10 (D8Z7Z) Rabbit Monoclonal Antibody recognizes endogenous levels of total CDK10 protein. This antibody is not expected to react with CDK10 N-terminal deletion isoforms.

    Species Reactivity:

    Human, Mouse, Rat

    Source / Purification

    Monoclonal antibody is produced by immunizing animals with a synthetic peptide corresponding to residues surrounding Val24 of human CDK10 protein.

    Background

    Cyclin Dependent Kinase 10 (CDK10) is a Cdc2-related protein kinase that binds to and inhibits the transactivation activity of the transcription factor Ets2 (1).
    CDK10 is activated by cyclin M, which is mutated and unable to activate CDK10 in the human developmental disorder, STAR syndrome. Phosphorylation of Ets2 by CDK10/Cyclin M leads to degradation of Ets2 by the proteasome (2). CDK10 also plays a role in the development of the zebrafish nervous system (3). Studies have shown that expression of CDK10, which is modulated by promoter hypermethylation, is decreased in human cancer (4-6). Further, studies show that CDK10 expression in breast cancer affects response to tamoxifen (7), and is correlated with disease progression (8). CDK10 regulates the expression of c-RAF, and signaling through the MAPK pathway (2-3, 6-7).

    Alternate Names

    ALSAS; CDC2-related protein kinase; CDK10; Cell division protein kinase 10; cyclin dependent kinase 10; cyclin-dependent kinase (CDC2-like) 10; Cyclin-dependent kinase 10; cyclin-dependent kinase related protein; PISSLRE; serine/threonine protein kinase PISSLRE; Serine/threonine-protein kinase PISSLRE

    For Research Use Only. Not for Use in Diagnostic Procedures.
    Cell Signaling Technology is a trademark of Cell Signaling Technology, Inc.
    All other trademarks are the property of their respective owners. Visit our Trademark Information page.