Render Target: STATIC
Render Timestamp:
5/19/2026, 8:19:51 PM EDT
5/20/2026, 12:19:51 AM UTC
Commit: 7ed46ecc04b401f23a28df741b5078df405d23e4
XML generation date: 2025-11-12 16:20:27.302
Product last modified at: 2026-03-20T08:04:29.858Z
Cell Signaling Technology Logo - Extra Large
1% for the planet logo
PDP - Template Name: Monoclonal Antibody
PDP - Template ID: *******c5e4b77
Trial Size Available Flag

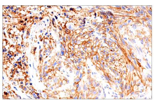
CD99 (PCB1) Mouse Monoclonal Antibody #29983

Filter:
  • IHC

    Product Specifications

    REACTIVITY H
    SENSITIVITY Endogenous
    MW (kDa)
    Source/Isotype Mouse IgG1
    Application Key:
    • IHC-Immunohistochemistry 
    Species Cross-Reactivity Key:
    • H-Human 

    Product Information

    Product Usage Information

    Application Dilution
    IHC Leica Bond 1:50 - 1:200
    Immunohistochemistry (Paraffin) 1:50 - 1:200

    Storage

    Supplied as liquid tissue culture supernatant containing sodium azide as a preservative. Stable for 6 months when stored at 4°C. Do not aliquot the antibody.

    Note: This product is only available in the format listed above. We are unable to provide this in a carrier free, custom formulation.

    实验步骤

    Specificity / Sensitivity

    CD99 (PCB1) Mouse Monoclonal Antibody recognizes endogenous levels of CD99 protein. Non-specific staining was observed in brain by immunohistochemistry.

    Species Reactivity:

    Human

    Source / Purification

    Monoclonal antibody is produced by immunizing animals with a prokaryotic recombinant protein corresponding to 101 amino acids of the N–terminal region of human CD99 protein.

    Background

    CD99 is a transmembrane protein involved in many cellular functions, including cell adhesion and migration, endocytosis and exocytosis, and intracellular protein trafficking. It is highly expressed in all leukocyte lineages, Sertoli cells, granulosa cells, and pancreatic islet cells (1,2). Due to alternative splicing, there are two isoforms of CD99 that differ at the carboxy terminus. CD99 Type I (CD99wt) is the full-length form containing 185 amino acids and CD99 Type II (CD99sh) contains 161 amino acids. Their expression is differentially regulated and they may have opposite functions in different contexts (3,4). CD99 is expressed in many types of tumors and has been used for differential diagnosis of conventional Ewing sarcoma. It has been actively pursued as a therapeutic target (5,6). On the other hand, CD99 may also play a tumor suppressor role in other tumors, such as Hodgkin’s lymphomas, osteosarcomas, and pancreatic tumors (6,7).

    Alternate Names

    12E7; antigen identified by monoclonal 12E7, Y homolog; antigen identified by monoclonal antibodies 12E7, F21 and O13; CD99; CD99 antigen; CD99 molecule; CD99 molecule (Xg blood group); cell surface antigen 12E7; cell surface antigen HBA-71; cell surface antigen O13; E2 antigen; HBA71; MIC2; MIC2 (monoclonal antibody 12E7); MIC2X; MIC2Y; MSK5X; Protein MIC2; surface antigen MIC2; T-cell surface glycoprotein E2

    For Research Use Only. Not for Use in Diagnostic Procedures.
    Cell Signaling Technology is a trademark of Cell Signaling Technology, Inc.
    SignalStain is a registered trademark of Cell Signaling Technology, Inc.
    All other trademarks are the property of their respective owners. Visit our Trademark Information page.