Cell Signaling Technology Logo - Extra Large
Trial Size Available Flag
Recombinant Flag
Recombinant: Superior lot-to-lot consistency, continuous supply, and animal-free manufacturing.

CD80 (E3Q9V) Rabbit Monoclonal Antibody #15416

Filter:
  • WB

    Product Specifications

    REACTIVITY H
    SENSITIVITY Endogenous
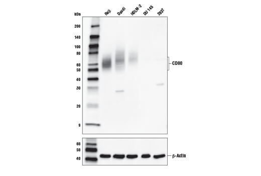
    MW (kDa) 50-75
    Source/Isotype Rabbit IgG
    Application Key:
    • WB-Western Blotting 
    Species Cross-Reactivity Key:
    • H-Human 

    Product Information

    Product Usage Information

    Application Dilution
    Western Blotting 1:1000

    Storage

    Supplied in 10 mM sodium HEPES (pH 7.5), 150 mM NaCl, 100 µg/ml BSA, 50% glycerol and less than 0.02% sodium azide. Store at –20°C. Do not aliquot the antibody.

    实验步骤

    Specificity / Sensitivity

    CD80 (E3Q9V) Rabbit Monoclonal Antibody recognizes endogenous levels of total CD80 protein. This antibody detects a 30 kDa band of unknown origin in some cell lines.

    Species Reactivity:

    Human

    Source / Purification

    Monoclonal antibody is produced by immunizing animals with human CD80 recombinant protein.

    Background

    CD80 (B7-1, BB1) and CD86 (B7-2, B70) are members of the B7 family of cell surface ligands that regulate T cell activation and immune responses. CD80 is expressed on activated antigen presenting cells, including dendritic cells, B cells, monocytes, and macrophages. CD86 is expressed on resting monocytes, dendritic cells, activated B lymphocytes, and can be further upregulated in the presence of inflammation (1-3). CD80 and CD86 are ligands for CD28, which functions as a T cell costimulatory receptor. Interaction of CD28 with CD80 or CD86 provides the second signal required for naïve T cell activation, T cell proliferation, and acquisition of effector functions (3-7). Alternatively, CD80 and CD86 also act as ligands to CTLA-4, which results in the downregulation of T cell activity (3,7-9).

    Alternate Names

    Activation B7-1 antigen; B-lymphocyte activation antigen B7; B7; B7-1; B7.1; BB1; CD28LG; CD28LG1; CD80; CD80 antigen (CD28 antigen ligand 1, B7-1 antigen); CD80 molecule; costimulatory factor CD80; costimulatory molecule variant IgV-CD80; CTLA-4 counter-receptor B7.1; LAB7; T-lymphocyte activation antigen CD80

    For Research Use Only. Not for Use in Diagnostic Procedures.
    Cell Signaling Technology is a trademark of Cell Signaling Technology, Inc.
    All other trademarks are the property of their respective owners. Visit our Trademark Information page.