Cell Signaling Technology Logo - Extra Large
Trial Size Available Flag
Recombinant Flag
Recombinant: Superior lot-to-lot consistency, continuous supply, and animal-free manufacturing.

CD79B (D7V2F) Rabbit Monoclonal Antibody #96024

Filter:
  • WB
  • IP
  • IHC
  • IF

    Product Specifications

    REACTIVITY H M
    SENSITIVITY Endogenous
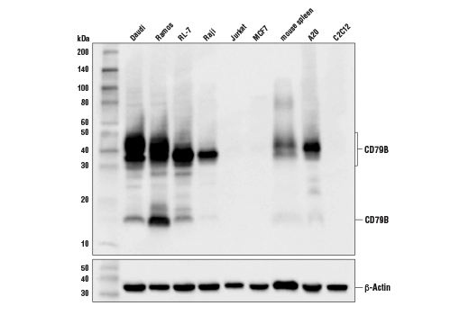
    MW (kDa) 14, 30-50
    Source/Isotype Rabbit IgG
    Application Key:
    • WB-Western Blotting 
    • IP-Immunoprecipitation 
    • IHC-Immunohistochemistry 
    • IF-Immunofluorescence 
    Species Cross-Reactivity Key:
    • H-Human 
    • M-Mouse 

    Product Information

    Product Usage Information

    Application Dilution
    Western Blotting 1:1000
    Immunoprecipitation 1:50
    IHC Leica Bond 1:100
    Immunohistochemistry (Paraffin) 1:250
    Immunofluorescence (Immunocytochemistry) 1:500

    Storage

    Supplied in 10 mM sodium HEPES (pH 7.5), 150 mM NaCl, 100 µg/ml BSA, 50% glycerol and less than 0.02% sodium azide. Store at –20°C. Do not aliquot the antibody.

    For a carrier free (BSA and azide free) version of this product see product #59728.

    实验步骤

    Specificity / Sensitivity

    CD79B (D7V2F) Rabbit Monoclonal Antibody recognizes endogenous levels of total CD79B protein. This antibody is predicted to detect multiple isoforms of CD79B.

    Species Reactivity:

    Human, Mouse

    The antigen sequence used to produce this antibody shares 100% sequence homology with the species listed here, but reactivity has not been tested or confirmed to work by CST. Use of this product with these species is not covered under our Product Performance Guarantee.

    Species predicted to react based on 100% sequence homology:

    Rat, Hamster, Bovine, Pig

    Source / Purification

    Monoclonal antibody is produced by immunizing animals with a synthetic peptide corresponding to residues surrounding Val222 of human CD79B protein.

    Background

    The B-cell antigen receptor (BCR) is composed of membrane immunoglobulin molecules non-covalently associated with the heterodimeric signaling component, CD79A and CD79B (also known as Igα and Igβ, respectively) (1,2). The presence of this receptor complex is essential for B cell development and function (3). Following antigen binding, CD79A/CD79B heterodimers are phosphorylated and initiate intracellular signaling through Src family kinases, Lyn, Blk, and Fyn, as well as Syk and Btk tyrosine kinases (4,5). The complexity of BCR signaling results in a variety of distinct cellular functions, such as proliferation, tolerance, apoptosis, and differentiation (6). BCR-antigen ligation also leads to internalization of the complex, trafficking to late endosomes, and antigen presentation in major histocompatibility molecules on the B cell surface (7,8). CD79B enhances the phosphorylation of CD79A (9). Alternatively spliced transcript variants encoding different isoforms of CD79B have been identified (10). CD79B is widely expressed on B cell malignancies and may serve as a target for therapeutic intervention (11,12).

    Alternate Names

    AGM6; B-cell antigen receptor complex-associated protein beta chain; B-cell-specific glycoprotein B29; B29; CD79B; CD79B antigen; CD79b antigen (immunoglobulin-associated beta); CD79b molecule; CD79b molecule, immunoglobulin-associated beta; Ig-beta; IGB; Immunoglobulin-associated B29 protein

    For Research Use Only. Not for Use in Diagnostic Procedures.
    Cell Signaling Technology is a trademark of Cell Signaling Technology, Inc.
    SignalStain is a registered trademark of Cell Signaling Technology, Inc.
    All other trademarks are the property of their respective owners. Visit our Trademark Information page.