Cell Signaling Technology Logo - Extra Large

CD7 Antibody #35368

Filter:
  • WB

    Product Specifications

    REACTIVITY H
    SENSITIVITY Endogenous
    MW (kDa) 38-40
    SOURCE Rabbit
    Application Key:
    • WB-Western Blotting 
    Species Cross-Reactivity Key:
    • H-Human 

    Product Information

    Product Usage Information

    Application Dilution
    Western Blotting 1:1000

    Storage

    Supplied in 10 mM sodium HEPES (pH 7.5), 150 mM NaCl, 100 µg/ml BSA and 50% glycerol. Store at –20°C. Do not aliquot the antibody.

    Protocol

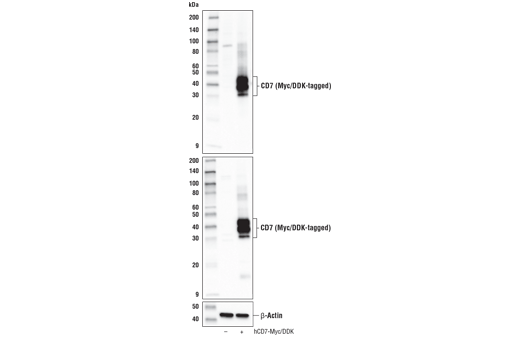
    Specificity / Sensitivity

    CD7 Antibody recognizes endogenous levels of total CD7 protein. This antibody cross-reacts with an unidentified protein of 90 kDa in some cell extracts.

    Species Reactivity:

    Human

    Source / Purification

    Polyclonal antibodies are produced by immunizing animals with a synthetic peptide corresponding to residues surrounding Ile69 of human CD7 protein. Antibodies are purified by protein A and peptide affinity chromatography.

    Background

    CD7 is a type-I transmembrane glycoprotein belonging to the immunoglobulin superfamily. CD7 is one of the earliest surface markers to be expressed on the surface of developing T cells and its expression is maintained throughout maturation of multiple T cell subsets and NK cells (1-3). Engagement of CD7 through binding its ligand, SECTM1, has been shown to promote tyrosine phosphorylation of its cytoplasmic domain, recruitment of PI3K, and delivery of costimulatory signals for T cell activation (4-6). While CD7 is expressed on normal T cells, it is also highly expressed in a variety of T cell malignancies, which has poised it as a potential target of immunotherapy (7-9).

    Alternate Names

    CD7; CD7 antigen; CD7 antigen (p41); CD7 molecule; GP40; LEU-9; p41 protein; T-cell antigen CD7; T-cell leukemia antigen; T-cell surface antigen Leu-9; Tp40; TP41

    For Research Use Only. Not for Use in Diagnostic Procedures.
    Cell Signaling Technology is a trademark of Cell Signaling Technology, Inc.
    All other trademarks are the property of their respective owners. Visit our Trademark Information page.