Cell Signaling Technology Logo - Extra Large
Trial Size Available Flag
Recombinant Flag
Recombinant: Superior lot-to-lot consistency, continuous supply, and animal-free manufacturing.

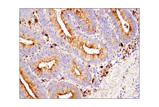
CD63 (D4I1X) Rabbit Monoclonal Antibody #55051

Filter:
  • IHC

    Product Specifications

    REACTIVITY H
    SENSITIVITY Endogenous
    MW (kDa)
    Source/Isotype Rabbit IgG
    Application Key:
    • IHC-Immunohistochemistry 
    Species Cross-Reactivity Key:
    • H-Human 

    Product Information

    Product Usage Information

    Application Dilution
    Immunohistochemistry (Paraffin) 1:400

    Storage

    Supplied in 10 mM sodium HEPES (pH 7.5), 150 mM NaCl, 100 µg/ml BSA, 50% glycerol and less than 0.02% sodium azide. Store at –20°C. Do not aliquot the antibody.

    For a carrier free (BSA and azide free) version of this product see product #43890.

    实验步骤

    Specificity / Sensitivity

    CD63 (D4I1X) Rabbit Monoclonal Antibody recognizes endogenous levels of total CD63 protein.

    Species Reactivity:

    Human

    Source / Purification

    Monoclonal antibody is produced by immunizing animals with recombinant CD63 protein.

    Background

    CD63 belongs to the tetraspanin family, which is characterized by four transmembrane domains, one short extracellular domain (ECL1), and one long extracellular domain (ECL2) (1-3). Tetraspanins interact with a variety of cell surface proteins and intracellular signaling molecules in specialized tetraspanin-enriched microdomains (TEMs) where they mediate a range of processes, including adhesion, motility, membrane organization, and signal transduction (3). CD63, like other tetraspanins, is enriched in exosomes (4). It is also a component of Weibel-Palade bodies found in endothelial cells (5). Research studies demonstrate several functions of CD63 in different cell types, including roles in mast cell degranulation, VEGF signaling in endothelial cells, recruitment of leukocytes to endothelial cells, and endosomal sorting during melanogenesis (6-9).

    Alternate Names

    CD63; CD63 antigen; CD63 antigen (melanoma 1 antigen); CD63 molecule; Granulophysin; LAMP-3; Lysosomal-associated membrane protein 3; lysosome-associated membrane glycoprotein 3; ME491; melanoma 1 antigen; Melanoma-associated antigen ME491; melanoma-associated antigen MLA1; MLA1; Ocular melanoma-associated antigen; OMA81H; Tetraspanin-30; Tspan-30; TSPAN30

    For Research Use Only. Not for Use in Diagnostic Procedures.
    Cell Signaling Technology is a trademark of Cell Signaling Technology, Inc.
    SignalStain is a registered trademark of Cell Signaling Technology, Inc.
    All other trademarks are the property of their respective owners. Visit our Trademark Information page.