Cell Signaling Technology Logo - Extra Large
Trial Size Available Flag
Recombinant Flag
Recombinant: Superior lot-to-lot consistency, continuous supply, and animal-free manufacturing.

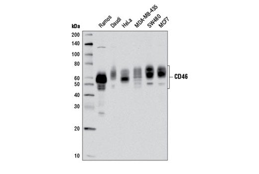
CD46 (D6N7H) Rabbit Monoclonal Antibody #13241

Filter:
  • WB
  • IHC

    Product Specifications

    REACTIVITY H Mk
    SENSITIVITY Endogenous
    MW (kDa) 50-70
    Source/Isotype Rabbit IgG
    Application Key:
    • WB-Western Blotting 
    • IHC-Immunohistochemistry 
    Species Cross-Reactivity Key:
    • H-Human 
    • Mk-Monkey 

    Product Information

    Product Usage Information

    Application Dilution
    Western Blotting 1:1000
    Immunohistochemistry (Paraffin) 1:800

    Storage

    Supplied in 10 mM sodium HEPES (pH 7.5), 150 mM NaCl, 100 µg/ml BSA, 50% glycerol and less than 0.02% sodium azide. Store at –20°C. Do not aliquot the antibody.

    For a carrier free (BSA and azide free) version of this product see product #28704.

    实验步骤

    Specificity / Sensitivity

    CD46 (D6N7H) Rabbit Monoclonal Antibody recognizes endogenous levels of total CD46 protein.

    Species Reactivity:

    Human, Monkey

    Source / Purification

    Monoclonal antibody is produced by immunizing animals with a synthetic peptide corresponding to residues surrounding Pro199 of human CD46 protein.

    Background

    Complement Regulatory Protein; Membrane Cofactor Protein (CD46) is a type 1 membrane protein that plays an important inhibitory role in the complement system (1). CD46 exhibits a cofactor activity that promotes inactivation of C3b and C4b by serum factor 1, thereby protecting host (self) cells from complement-dependent cytotoxicity (1,2). The importance of CD46 to complement regulation is underscored by the observation that genetic loss of CD46 leads to development of atypical hemolytic-uremic syndrome (aHUS), a disease characterized by uncontrolled complement activation (2,3). In addition to its role in complement inactivation, CD46 can function as a receptor for selected bacteria and viruses (4), and is reportedly required for proper fusion of spermatozoa to the oocyte membrane during fertilization (5). CD46 is implicated in the development and/or progression of selected cancer types. For example, research studies show elevated CD46 expression in medulloblastoma tumor samples (6), while CD46 expression has been linked with poor prognosis in breast cancer (7). It has been suggested that upregulation of CD46 may serve to protect cancer cells from complement-dependent cytotoxicity, thereby evading destruction by the immune system (8,9).

    Alternate Names

    AHUS2; antigen identified by monoclonal antibody TRA-2-10; CD46; CD46 antigen, complement regulatory protein; CD46 molecule; CD46 molecule, complement regulatory protein; complement membrane cofactor protein; MCP; measles virus receptor; Membrane cofactor protein; membrane cofactor protein (CD46, trophoblast-lymphocyte cross-reactive antigen); MGC26544; MIC10; TLX; TRA2.10; trophoblast leucocyte common antigen; Trophoblast leukocyte common antigen; trophoblast-lymphocyte cross-reactive antigen

    For Research Use Only. Not for Use in Diagnostic Procedures.
    Cell Signaling Technology is a trademark of Cell Signaling Technology, Inc.
    SignalStain is a registered trademark of Cell Signaling Technology, Inc.
    All other trademarks are the property of their respective owners. Visit our Trademark Information page.