Cell Signaling Technology Logo - Extra Large

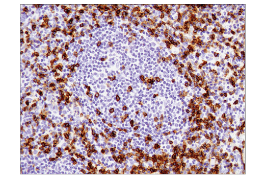
CD45RO (UCHL1) Mouse Monoclonal Antibody (BSA and Azide Free) #36282

Filter:
  • IHC

    Product Specifications

    REACTIVITY H
    SENSITIVITY Endogenous
    MW (kDa)
    Source/Isotype Mouse IgG2a
    Application Key:
    • IHC-Immunohistochemistry 
    Species Cross-Reactivity Key:
    • H-Human 

    Product Information

    Product Usage Information

    This product is the carrier free version of product #55618. All data were generated using the same antibody clone in the standard formulation which contains BSA and glycerol.

    This formulation is ideal for use with technologies requiring specialized or custom antibody labeling, including fluorophores, metals, lanthanides, and oligonucleotides. It is not recommended for ChIP, ChIP-seq, CUT&RUN, or CUT&Tag assays. If you require a carrier-free formulation for chromatin profiling, please contact us. Optimal dilutions/concentrations should be determined by the end user.

    BSA and Azide Free antibodies are quality control tested by size exclusion chromatography (SEC) to determine antibody integrity.

    Formulation

    Supplied in 1X PBS (10 mM Na2HPO4, 3 mM KCl, 2 mM KH2PO4, and 140 mM NaCl (pH 7.8)). BSA and Azide Free.

    For standard formulation of this product see product #55618.

    Storage

    Store at -20°C. This product will freeze at -20°C so it is recommended to aliquot into single-use vials to avoid multiple freeze/thaw cycles. A slight precipitate may be present and can be dissolved by gently vortexing. This will not interfere with antibody performance.

    Specificity / Sensitivity

    CD45RO (UCHL1) Mouse Monoclonal Antibody (BSA and Azide Free) recognizes endogenous levels of total CD45RO protein.

    Species Reactivity:

    Human

    Source / Purification

    Monoclonal antibody is produced by immunizing animals with the IL-2-dependent T cell line, CA1 (5).

    Background

    The protein phosphatase (PTP) receptor CD45 is a type I transmembrane protein comprised of a pair of intracellular tyrosine phosphatase domains and a variable extracellular domain generated by alternative splicing (1). The catalytic activity of CD45 is a function of the first phosphatase domain (D1) while the second phosphatase domain (D2) may interact with and stabilize the first domain, or recruit/bind substrates (2,3). CD45 interacts directly with antigen receptor complex proteins or activates Src family kinases involved in the regulation of T- and B-cell antigen receptor signaling (1). Specifically, CD45 dephosphorylates Src-family kinases Lck and Fyn at their conserved negative regulatory carboxy-terminal tyrosine residues and upregulates kinase activity. Conversely, studies indicate that CD45 can also inhibit Lck and Fyn by dephosphorylating their positive regulatory autophosphorylation site. CD45 appears to be both a positive and a negative regulator that conducts signals depending on specific stimuli and cell type (1). Human leukocytes including lymphocytes, eosinophils, monocytes, basophils, and neutrophils express CD45, while erythrocytes and platelets are negative for CD45 expression (4).
    Several isoforms of CD45 are generated through alternative splicing in a cell type-specific and activation state-specific manner. Memory T cells are positive for CD45RO, while naive T cells are negative for CD45RO (5,6).

    Alternate Names

    B220; CD45; CD45 antigen; CD45R; CD45RA; CD45RO; glycoprotein; GP180; L-CA; LCA; Leukocyte common antigen; leukocyte-common antigen; LY5; protein tyrosine phosphatase receptor type C; protein tyrosine phosphatase, receptor type, C; protein tyrosine phosphatase, receptor type, c polypeptide; PTPRC; Receptor-type tyrosine-protein phosphatase C; T200; T200 glycoprotein; T200 leukocyte common antigen

    For Research Use Only. Not for Use in Diagnostic Procedures.
    Cell Signaling Technology is a trademark of Cell Signaling Technology, Inc.
    SignalStain is a registered trademark of Cell Signaling Technology, Inc.
    All other trademarks are the property of their respective owners. Visit our Trademark Information page.