Cell Signaling Technology Logo - Extra Large
Trial Size Available Flag
Recombinant Flag
Recombinant: Superior lot-to-lot consistency, continuous supply, and animal-free manufacturing.

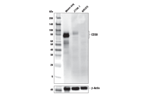
CD39/NTPDase 1 (E2X6B) Rabbit Monoclonal Antibody #14481

Filter:
  • WB
  • IHC

    Product Specifications

    REACTIVITY M
    SENSITIVITY Endogenous
    MW (kDa) 80
    Source/Isotype Rabbit IgG
    Application Key:
    • WB-Western Blotting 
    • IHC-Immunohistochemistry 
    Species Cross-Reactivity Key:
    • M-Mouse 

    Product Information

    Product Usage Information

    Application Dilution
    Western Blotting 1:1000
    Immunohistochemistry (Paraffin) 1:200

    Storage

    Supplied in 10 mM sodium HEPES (pH 7.5), 150 mM NaCl, 100 µg/ml BSA, 50% glycerol and less than 0.02% sodium azide. Store at –20°C. Do not aliquot the antibody.

    For a carrier free (BSA and azide free) version of this product see product #99341

    实验步骤

    Specificity / Sensitivity

    CD39/NTPDase 1 (E2X6B) Rabbit Monoclonal Antibody recognizes endogenous levels of total NTPDase 1 protein.

    Species Reactivity:

    Mouse

    Source / Purification

    Monoclonal antibody is produced by immunizing animals with a synthetic peptide corresponding to residues surrounding Lys307 of mouse NTPDase 1 protein.

    Background

    Ectonucleoside triphosphate diphosphohydrolase 1 (NTPDase 1, also known as CD39) is a multi-pass membrane ectoenzyme that metabolizes adenosine-5'-triphosphate (ATP) to regulate purinergic signaling. Purinergic signaling by extracellular ATP and its metabolites regulate many biological processes, including vascular tone, digestion, neuronal function, and inflammation in both normal and diseased states (1). NTPDase 1 is expressed in endothelial cells in the vasculature to regulate local platelet purinergic signaling via metabolism of ATP to adenosine (2). Accordingly, NTPDase 1 regulates platelet activation aggregation and contributes to the antithrombotic properties of endothelial cells (3). ATP and its metabolites also finely modulate the activity of T cells and macrophages (4,5). Immunomodulation is regulated, in part, by the availability of extracellular ATP and adenosine, suggesting that NTPDase 1 (CD39) may play an immunosuppressive role in the tumor microenvironment.

    Alternate Names

    2610206B08Rik; AA408691; Cd39; CD39 antigen; E130009M23Rik; Ecto-apyrase; Ecto-ATP diphosphohydrolase 1; Ecto-ATPase 1; Ecto-ATPDase 1; ectoa; ectoapyrase; Ectonucleoside triphosphate diphosphohydrolase 1; ENTP1; Entpd1; Lymphoid cell activation antigen; NTPDa; NTPDase 1; NTPDase-1

    For Research Use Only. Not for Use in Diagnostic Procedures.
    Cell Signaling Technology is a trademark of Cell Signaling Technology, Inc.
    SignalStain is a registered trademark of Cell Signaling Technology, Inc.
    All other trademarks are the property of their respective owners. Visit our Trademark Information page.